The ARHGEF11 Antibody (CAB7954) is a high-quality antibody developed for reliable detection and analysis of target proteins. This antibody, produced in rabbits, exhibits high reactivity with human samples and is suitable for use in Western blot applications. By specifically binding to the ARHGEF11 protein, this antibody allows for accurate detection and analysis in a wide range of cell types, making it an essential component for studies in cell biology and signal transduction.
This antibody is validated for use in WB, IHC-P, ELISA applications and has demonstrated reactivity against Human, Mouse samples.
Product Name:
ARHGEF11 Antibody
SKU:
CAB7954
Size:
20μL, 100μL
Reactivity:
Human, Mouse
Conjugate:
Unconjugated
Immunogen:
Synthetic peptide. This information is considered to be commercially sensitive.
Recommended starting concentration is 1 μg/mL. Please optimize the concentration based on your specific assay requirements.
Synonyms:
GTRAP48, PDZ-RHOGEF, ARHGEF11
Positive Sample:
Mouse lung
Cellular Localization:
Cytoplasm, Membrane.
Calculated MW:
168kDa
Observed MW:
168kDa
Rho GTPases play a fundamental role in numerous cellular processes that are initiated by extracellular stimuli that work through G protein coupled receptors. The encoded protein may form a complex with G proteins and stimulate Rho-dependent signals. A similar protein in rat interacts with glutamate transporter EAAT4 and modulates its glutamate transport activity. Expression of the rat protein induces the reorganization of the actin cytoskeleton and its overexpression induces the formation of membrane ruffling and filopodia. Two alternative transcripts encoding different isoforms have been described.
Purification Method
Affinity purification
Gene ID
9826
RRID
AB_2768429
Buffer Information
Store at -20℃. Avoid freeze / thaw cycles. Buffer: PBS containing 50% glycerol, preserved with proclin300 or sodium azide, pH 7.3.
Western blot analysis of lysates from Mouse lung, using ARHGEF11 Rabbit pAb (CAB7954) at 1:600 dilution. Secondary antibody: HRP-conjugated Goat anti-Rabbit IgG (H+L) (CABS014) at 1:10000 dilution. Lysates/proteins: 25μg per lane. Blocking buffer: 3% nonfat dry milk in TBST. Detection: ECL Basic Kit (AbGn00020). Exposure time: 180s.
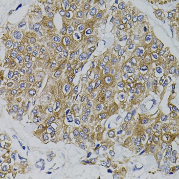
Immunohistochemistry analysis of paraffin-embedded Human prostate cancer using ARHGEF11 Rabbit pAb (CAB7954) (40x lens). Microwave antigen retrieval performed with 0.01M PBS Buffer (pH 7.2) prior to IHC staining.
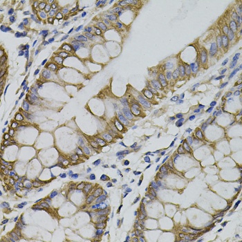
Immunohistochemistry analysis of paraffin-embedded Human colon using ARHGEF11 Rabbit pAb (CAB7954) (40x lens). Microwave antigen retrieval performed with 0.01M PBS Buffer (pH 7.2) prior to IHC staining.