The ARL6IP1 Antibody (CAB17107) is a high-quality antibody developed for reliable detection and analysis of target proteins. This antibody, produced in rabbits, is highly specific to human samples and has been validated for use in Western blot applications. By binding to the ARL6IP1 protein, this antibody enables the detection and analysis of ARL6IP1 in various cell types, making it ideal for research in cell biology and molecular biology.ARL6IP1 is known to play important roles in regulating protein trafficking within cells and maintaining the structure and function of cilia, which are hair-like structures on the cell surface involved in cell signaling and movement.
This antibody is validated for use in WB, IHC-P, ELISA applications and has demonstrated reactivity against Human, Mouse, Rat samples.
Product Name:
ARL6IP1 Antibody
SKU:
CAB17107
Size:
20μL, 100μL
Reactivity:
Human, Mouse, Rat
Immunogen:
Synthetic peptide. This information is considered to be commercially sensitive.
Recommended starting concentration is 1 μg/mL. Please optimize the concentration based on your specific assay requirements.
Synonyms:
AIP1, ARMER, SPG61, ARL6IP, ARL6IP1
Positive Sample:
K-562, 293F
Cellular Localization:
Cytosol.
Calculated MW:
23kDa
Observed MW:
22kDa
This gene belongs to the ARL6ip family and encodes a transmembrane protein that is predominantly localized to intracytoplasmic membranes. It is highly expressed in early myeloid progenitor cells and thought to be involved in protein transport, membrane trafficking, or cell signaling during hematopoietic maturation. Mutations in this gene are associated with spastic paraplegia 61 (SPG61). Alternatively spliced transcript variants have been found for this gene.
Purification Method
Affinity purification
Gene ID
23204
RRID
AB_2768444
Buffer Information
Store at -20℃. Avoid freeze / thaw cycles. Buffer: PBS with 0.01% thimerosal,50% glycerol,pH7.3.
Western blot analysis of various lysates, using ARL6IP1 Rabbit pAb (CAB17107) at 1:1000 dilution. Secondary antibody: HRP-conjugated Goat anti-Rabbit IgG (H+L) (CABS014) at 1:10000 dilution. Lysates/proteins: 25μg per lane. Blocking buffer: 3% nonfat dry milk in TBST. Detection: ECL Basic Kit (AbGn00020). Exposure time: 10s.
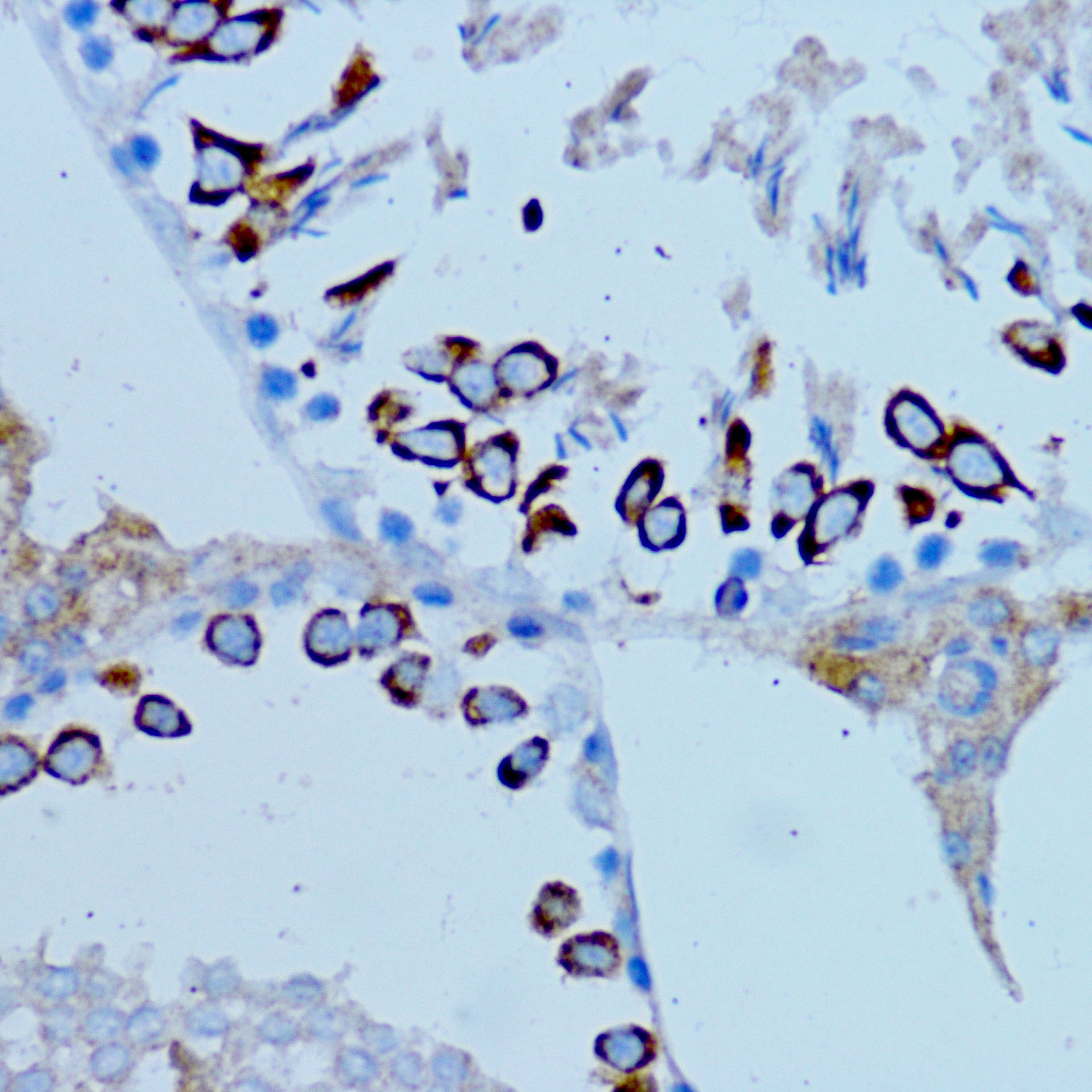
Immunohistochemistry analysis of paraffin-embedded Rat testis tissue using ARL6IP1 Rabbit pAb (CAB17107) at a dilution of 1:100 (40x lens). Microwave antigen retrieval performed with 0.01M PBS Buffer (pH 7.2) prior to IHC staining.