The ASMTL Antibody (CAB7021) is a high-quality antibody developed for reliable detection and analysis of target proteins. This antibody, produced in rabbits, shows high specificity and reactivity with human samples, making it a reliable choice for experiments such as Western blot analysis.ASM-TL is involved in the regulation of lipid metabolism, particularly in the breakdown of lipids within cells. Dysregulation of ASM-TL has been linked to various metabolic disorders, making it a potential target for therapeutic interventions.
This antibody is validated for use in WB, IP, ELISA applications and has demonstrated reactivity against Human, Mouse samples.
Product Name:
ASMTL Antibody
SKU:
CAB7021
Size:
20μL, 100μL
Reactivity:
Human, Mouse
Conjugate:
Unconjugated
Immunogen:
Recombinant protein (or fragment).This information is considered to be commercially sensitive.
The protein encoded by this gene has an N-terminus that is similar to the multicopy associated filamentation (maf) protein of Bacillus subtilis and to orfE of Escherichia coli, while the C-terminus is similar to N-acetylserotonin O-methyltransferase. This gene is located in the pseudoautosomal region 1 (PAR1) of X and Y chromosomes. Three transcript variants encoding different isoforms have been found for this gene.
Purification Method
Affinity purification
Gene ID
8623
RRID
AB_2767577
Buffer Information
Store at -20℃. Avoid freeze / thaw cycles. Buffer: PBS containing 50% glycerol, preserved with proclin300 or sodium azide, pH 7.3.
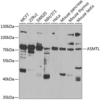
Western blot analysis of various lysates using ASMTL Rabbit pAb (CAB7021) at 1:1000 dilution. Secondary antibody: HRP-conjugated Goat anti-Rabbit IgG (H+L) (CABS014) at 1:10000 dilution. Lysates/proteins: 25μg per lane. Blocking buffer: 3% nonfat dry milk in TBST.
Immunoprecipitation analysis of 200 μg extracts of SW620 cells using 1 μg ASMTL antibody (CAB7021). Western blot was performed from the immunoprecipitate using ASMTL antibody (CAB7021) at a dilution of 1:500.