Description
ATP7B Antibody (PACO20992)
The ATP7B Polyclonal Antibody (PAC020992) is a valuable tool for researchers studying ATP7B, a copper-transporting ATPase involved in copper homeostasis and Wilson disease. This antibody, generated in rabbits, has high reactivity with human samples and is validated for use in Western blot applications. It specifically binds to the ATP7B protein, allowing for detection and analysis in a variety of cell types, making it ideal for studies in biochemistry and genetic disorders.ATP7B plays a crucial role in mediating copper transport and maintaining copper levels within cells. Mutations in the ATP7B gene can lead to impaired copper metabolism and accumulation of copper in tissues, resulting in Wilson disease, a rare inherited disorder.
Research into the function and regulation of ATP7B is essential for understanding the pathogenesis of Wilson disease and developing targeted therapies for this condition.By utilizing the ATP7B Polyclonal Antibody, researchers can further investigate the mechanisms by which ATP7B regulates copper homeostasis and explore potential therapeutic interventions for Wilson disease and other copper-related disorders. Understanding the role of ATP7B in cellular copper transport is key to advancing our knowledge of metal ion metabolism and its impact on human health.
| Antibody Name: | ATP7B Antibody (PACO20992) |
| Antibody SKU: | PACO20992 |
| Size: | 50ul |
| Host Species: | Rabbit |
| Tested Applications: | ELISA, IHC |
| Recommended Dilutions: | ELISA:1:2000-1:5000, IHC:1:25-1:100 |
| Species Reactivity: | Human, Mouse, Rat |
| Immunogen: | Synthetic peptide of human ATP7B |
| Form: | Liquid |
| Storage Buffer: | -20°C, pH7.4 PBS, 0.05% NaN3, 40% Glycerol |
| Purification Method: | Antigen affinity purification |
| Clonality: | Polyclonal |
| Isotype: | IgG |
| Conjugate: | Non-conjugated |
![]() | The image on the left is immunohistochemistry of paraffin-embedded Human esophagus cancer tissue using PACO20992(ATP7B Antibody) at dilution 1/20, on the right is treated with synthetic peptide. (Original magnification: x200). |
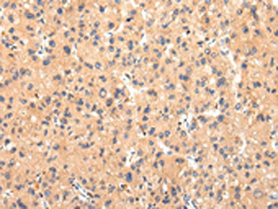
![]() | The image on the left is immunohistochemistry of paraffin-embedded Human liver cancer tissue using PACO20992(ATP7B Antibody) at dilution 1/20, on the right is treated with synthetic peptide. (Original magnification: x200). |
| Background: | This gene is a member of the P-type cation transport ATPase family and encodes a protein with several membrane-spanning domains, an ATPase consensus sequence, a hinge domain, a phosphorylation site, and at least 2 putative copper-binding sites. This protein functions as a monomer, exporting copper out of the cells, such as the efflux of hepatic copper into the bile. Alternate transcriptional splice variants, encoding different isoforms with distinct cellular localizations, have been characterized. Mutations in this gene have been associated with Wilson disease (WD). |
| Synonyms: | ATPase, Cu++ transporting, β polypeptide |
| UniProt Protein Function: | ATP7B: Involved in the export of copper out of the cells, such as the efflux of hepatic copper into the bile. Monomer. Interacts with COMMD1/MURR1. Most abundant in liver and kidney and also found in brain. Isoform 2 is expressed in brain but not in liver. The cleaved form WND/140 kDa is found in liver cell lines and other tissues. Belongs to the cation transport ATPase (P-type) (TC 3.A.3) family. Type IB subfamily. 4 isoforms of the human protein are produced by alternative splicing. |
| UniProt Protein Details: | Protein type:Membrane protein, integral; Transporter, ion channel; Membrane protein, multi-pass; EC 3.6.3.54; Vesicle; Transporter; Hydrolase Chromosomal Location of Human Ortholog: 13q14.3 Cellular Component: basolateral plasma membrane; cytoplasmic membrane-bound vesicle; Golgi membrane; integral to plasma membrane; late endosome; membrane; mitochondrion; perinuclear region of cytoplasm; tight junction; trans-Golgi network Molecular Function:ATP binding; copper ion binding; copper-exporting ATPase activity; protein binding; zinc ion binding Biological Process: cellular copper ion homeostasis; cellular zinc ion homeostasis; circadian rhythm; copper ion export; copper ion import; copper ion transport; intracellular copper ion transport; lactation; metabolic process; response to cAMP; response to copper ion; response to zinc ion; sequestering of calcium ion; transmembrane transport Disease: Wilson Disease |
| NCBI Summary: | This gene is a member of the P-type cation transport ATPase family and encodes a protein with several membrane-spanning domains, an ATPase consensus sequence, a hinge domain, a phosphorylation site, and at least 2 putative copper-binding sites. This protein functions as a monomer, exporting copper out of the cells, such as the efflux of hepatic copper into the bile. Alternate transcriptional splice variants, encoding different isoforms with distinct cellular localizations, have been characterized. Mutations in this gene have been associated with Wilson disease (WD). [provided by RefSeq, Jul 2008] |
| UniProt Code: | P35670 |
| NCBI GenInfo Identifier: | 239938919 |
| NCBI Gene ID: | 540 |
| NCBI Accession: | P35670.4 |
| UniProt Secondary Accession: | P35670,Q16318, Q16319, Q4U3V3, Q59FJ9, Q5T7X7, |
| UniProt Related Accession: | P35670 |
| Molecular Weight: | 155,125 Da |
| NCBI Full Name: | Copper-transporting ATPase 2 |
| NCBI Synonym Full Names: | ATPase copper transporting beta |
| NCBI Official Symbol: | ATP7BÂ Â |
| NCBI Official Synonym Symbols: | WD; PWD; WC1; WNDÂ Â |
| NCBI Protein Information: | copper-transporting ATPase 2 |
| UniProt Protein Name: | Copper-transporting ATPase 2 |
| UniProt Synonym Protein Names: | Copper pump 2; Wilson disease-associated protein |
| UniProt Gene Name: | ATP7BÂ Â |
| UniProt Entry Name: | ATP7B_HUMAN |

