The B4GALT2 Antibody (CAB17573) is a high-quality antibody developed for reliable detection and analysis of target proteins. The antibody, raised in rabbits, exhibits high reactivity with human samples and is validated for use in various applications, including Western blot and immunohistochemistry.B4GALT2, also known as beta-1,4-galactosyltransferase 2, plays a crucial role in the biosynthesis of glycoproteins, which are essential for various cellular functions, including cell adhesion and signaling.
This antibody is validated for use in WB, ELISA applications and has demonstrated reactivity against Human, Mouse, Rat samples.
Product Name:
B4GALT2 Antibody
SKU:
CAB17573
Size:
20μL, 100μL
Reactivity:
Human, Mouse, Rat
Conjugate:
Unconjugated
Immunogen:
Recombinant protein (or fragment).This information is considered to be commercially sensitive.
Recommended starting concentration is 1 μg/mL. Please optimize the concentration based on your specific assay requirements.
Synonyms:
B4Gal-T2, B4Gal-T3, beta4Gal-T2, B4GALT2
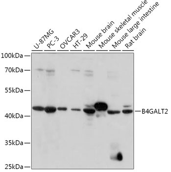
Positive Sample:
U-87MG, PC-3, OVCAR3, HT-29, Mouse brain, Mouse skeletal muscle, Mouse large intestine, Rat brain
Cellular Localization:
Golgi Apparatus, Nucleoplasm.
Calculated MW:
42kDa
Observed MW:
42kDa
This gene is one of seven beta-1,4-galactosyltransferase (beta4GalT) genes. They encode type II membrane-bound glycoproteins that appear to have exclusive specificity for the donor substrate UDP-galactose; all transfer galactose in a beta1,4 linkage to similar acceptor sugars: GlcNAc, Glc, and Xyl. Each beta4GalT has a distinct function in the biosynthesis of different glycoconjugates and saccharide structures. As type II membrane proteins, they have an N-terminal hydrophobic signal sequence that directs the protein to the Golgi apparatus and which then remains uncleaved to function as a transmembrane anchor. By sequence similarity, the beta4GalTs form four groups: beta4GalT1 and beta4GalT2, beta4GalT3 and beta4GalT4, beta4GalT5 and beta4GalT6, and beta4GalT7. The enzyme encoded by this gene synthesizes N-acetyllactosamine in glycolipids and glycoproteins. Its substrate specificity is affected by alpha-lactalbumin but it is not expressed in lactating mammary tissue. Three transcript variants encoding two different isoforms have been found for this gene.
Purification Method
Affinity purification
Gene ID
8704
RRID
AB_2768541
Buffer Information
Store at -20℃. Avoid freeze / thaw cycles. Buffer: PBS with 0.01% thimerosal,50% glycerol,pH7.3.
Western blot analysis of various lysates using B4GALT2 Rabbit pAb (CAB17573) at 1:1000 dilution. Secondary antibody: HRP-conjugated Goat anti-Rabbit IgG (H+L) (CABS014) at 1:10000 dilution. Lysates/proteins: 25μg per lane. Blocking buffer: 3% nonfat dry milk in TBST. Detection: ECL Basic Kit (AbGn00020). Exposure time: 90s.