The B9D1 Antibody (CAB7973) is a high-quality antibody developed for reliable detection and analysis of target proteins. The antibody, produced in rabbits, exhibits high reactivity with human samples and is optimized for Western blot applications. By specifically binding to the B9D1 protein, this antibody enables accurate detection and analysis in a variety of cell types, making it ideal for investigations in the fields of molecular biology and genetics.B9D1 is essential for ciliary function, playing a critical role in maintaining the structure and function of cilia, which are vital for cellular signaling and sensory processes.
This antibody is validated for use in WB, IHC-P, IF/ICC, ELISA applications and has demonstrated reactivity against Human, Mouse, Rat samples.
Product Name:
B9D1 Antibody
SKU:
CAB7973
Size:
20μL, 100μL
Reactivity:
Human, Mouse, Rat
Conjugate:
Unconjugated
Immunogen:
Recombinant protein (or fragment).This information is considered to be commercially sensitive.
This gene encodes a B9 domain-containing protein, one of several that are involved in ciliogenesis. Alterations in expression of this gene have been found in a family with Meckel syndrome. Meckel syndrome has been associated with at least six different genes. This gene is located within the Smith-Magenis syndrome region on chromosome 17.
Purification Method
Affinity purification
Gene ID
27077
RRID
AB_2768548
Buffer Information
Store at -20℃. Avoid freeze / thaw cycles. Buffer: PBS containing 50% glycerol, preserved with proclin300 or sodium azide, pH 7.3.
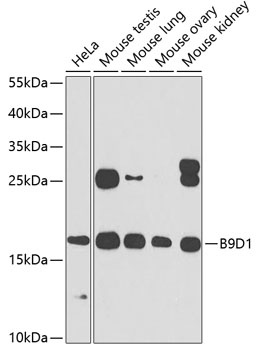
Western blot analysis of various lysates using B9D1 Rabbit pAb (CAB7973) at 1:1000 dilution. Secondary antibody: HRP-conjugated Goat anti-Rabbit IgG (H+L) (CABS014) at 1:10000 dilution. Lysates/proteins: 25μg per lane. Blocking buffer: 3% nonfat dry milk in TBST. Detection: ECL Basic Kit (AbGn00020). Exposure time: 90s.
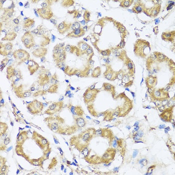
Immunohistochemistry analysis of paraffin-embedded Human stomach using B9D1 Rabbit pAb (CAB7973) at dilution of 1:100 (40x lens). Microwave antigen retrieval performed with 0.01M PBS Buffer (pH 7.2) prior to IHC staining.
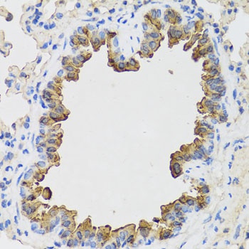
Immunohistochemistry analysis of paraffin-embedded Mouse lung using B9D1 Rabbit pAb (CAB7973) at dilution of 1:100 (40x lens). Microwave antigen retrieval performed with 0.01M PBS Buffer (pH 7.2) prior to IHC staining.
Immunofluorescence analysis of L929 cells using B9D1 Rabbit pAb (CAB7973) at dilution of 1:100. Secondary antibody: Cy3-conjugated Goat anti-Rabbit IgG (H+L) (CABS007) at 1:500 dilution. Blue: DAPI for nuclear staining.