The BAF60a Antibody (CAB9950) is a high-quality antibody developed for reliable detection and analysis of target proteins. This antibody, derived from rabbit serum, has been extensively validated for its reactivity with human samples and is optimized for Western blot applications.BAF60A is a critical component of the SWI/SNF complex, which plays a crucial role in regulating gene expression and chromatin structure. Dysregulation of BAF60A has been implicated in various diseases, including cancer and neurological disorders, highlighting its importance in cellular function.By specifically targeting BAF60A, this polyclonal antibody enables researchers to study the role of this protein in various cell types and biological processes.
This antibody is validated for use in WB, IHC-P, ELISA applications and has demonstrated reactivity against Human, Mouse, Rat samples.
Product Name:
BAF60a Antibody
SKU:
CAB9950
Size:
20μL, 100μL
Reactivity:
Human, Mouse, Rat
Conjugate:
Unconjugated
Immunogen:
Recombinant protein (or fragment).This information is considered to be commercially sensitive.
Recommended starting concentration is 1 μg/mL. Please optimize the concentration based on your specific assay requirements.
Synonyms:
Baf60a, D15Kz1, BAF60a
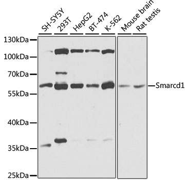
Positive Sample:
SH-SY5Y, 293T, HepG2, BT-474, K-562, Mouse brain, Rat testis
Cellular Localization:
Nucleus.
Calculated MW:
58kDa
Observed MW:
58kDa
Predicted to enable several functions, including chromatin binding activity; molecular adaptor activity; and transcription coregulator activity. Predicted to be involved in epigenetic maintenance of chromatin in transcription-competent conformation; nucleosome disassembly; and regulation of transcription by RNA polymerase II. Predicted to act upstream of or within chromatin organization and nervous system development. Part of SWI/SNF complex; nBAF complex; and npBAF complex. Is expressed in several structures, including central nervous system; dorsal root ganglion; early conceptus; genitourinary system; and retina layer. Human ortholog(s) of this gene implicated in Coffin-Siris syndrome. Orthologous to human SMARCD1 (SWI/SNF related, matrix associated, actin dependent regulator of chromatin, subfamily d, member 1).
Purification Method
Affinity purification
Gene ID
83797
RRID
AB_2768554
Buffer Information
Store at -20℃. Avoid freeze / thaw cycles. Buffer: PBS containing 50% glycerol, preserved with proclin300 or sodium azide, pH 7.3.
Western blot analysis of various lysates using BAF60a Rabbit pAb (CAB9950) at 1:1000 dilution. Secondary antibody: HRP-conjugated Goat anti-Rabbit IgG (H+L) (CABS014) at 1:10000 dilution. Lysates/proteins: 25μg per lane. Blocking buffer: 3% nonfat dry milk in TBST. Detection: ECL Basic Kit (AbGn00020). Exposure time: 15s.
Immunohistochemistry analysis of paraffin-embedded Rat brain using BAF60a Rabbit pAb (CAB9950) (40x lens). Microwave antigen retrieval performed with 0.01M PBS Buffer (pH 7.2) prior to IHC staining.
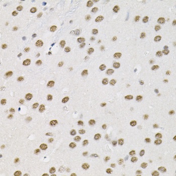
Immunohistochemistry analysis of paraffin-embedded Mouse brain using BAF60a Rabbit pAb (CAB9950) at dilution of 1:100 (40x lens). Microwave antigen retrieval performed with 0.01M PBS Buffer (pH 7.2) prior to IHC staining.