The DAZL Antibody (CAB13970) is a high-quality antibody developed for reliable detection and analysis of target proteins. This antibody, produced in rabbits, exhibits high reactivity with human samples and is validated for use in Western blot applications. By targeting the DAZL protein, this antibody enables the detection and analysis of DAZL expression in various cell types, making it ideal for studies in reproductive biology and fertility research.DAZL, also known as Deleted in Azoospermia-like, is essential for germ cell survival, proliferation, and differentiation.
This antibody is validated for use in WB, IHC-P, ELISA, IF-P applications and has demonstrated reactivity against Mouse, Rat samples.
Product Name:
DAZL Antibody
SKU:
CAB13970
Size:
20μL, 100μL
Reactivity:
Mouse, Rat
Conjugate:
Unconjugated
Immunogen:
Recombinant protein (or fragment).This information is considered to be commercially sensitive.
Recommended starting concentration is 1 μg/mL. Please optimize the concentration based on your specific assay requirements.
Synonyms:
DAZH, DAZL1, DAZLA, SPGYLA, DAZL
Positive Sample:
Mouse testis, Rat testis
Cellular Localization:
Cytoplasm, Nucleus.
Calculated MW:
33kDa
Observed MW:
38kDa
The DAZ (Deleted in AZoospermia) gene family encodes potential RNA binding proteins that are expressed in prenatal and postnatal germ cells of males and females. The protein encoded by this gene is localized to the nucleus and cytoplasm of fetal germ cells and to the cytoplasm of developing oocytes. In the testis, this protein is localized to the nucleus of spermatogonia but relocates to the cytoplasm during meiosis where it persists in spermatids and spermatozoa. Transposition and amplification of this autosomal gene during primate evolution gave rise to the DAZ gene cluster on the Y chromosome. Mutations in this gene have been linked to severe spermatogenic failure and infertility in males. Two transcript variants encoding different isoforms have been found for this gene.
Purification Method
Affinity purification
Gene ID
1618
RRID
AB_2760825
Buffer Information
Store at -20℃. Avoid freeze / thaw cycles. Buffer: PBS containing 50% glycerol, preserved with proclin300 or sodium azide, pH 7.3.
Western blot analysis of various lysates using DAZL Rabbit pAb (CAB13970) at 1:1000 dilution. Secondary antibody: HRP-conjugated Goat anti-Rabbit IgG (H+L) (CABS014) at 1:10000 dilution. Lysates/proteins: 25μg per lane. Blocking buffer: 3% nonfat dry milk in TBST. Detection: ECL Basic Kit (AbGn00020). Exposure time: 10s.
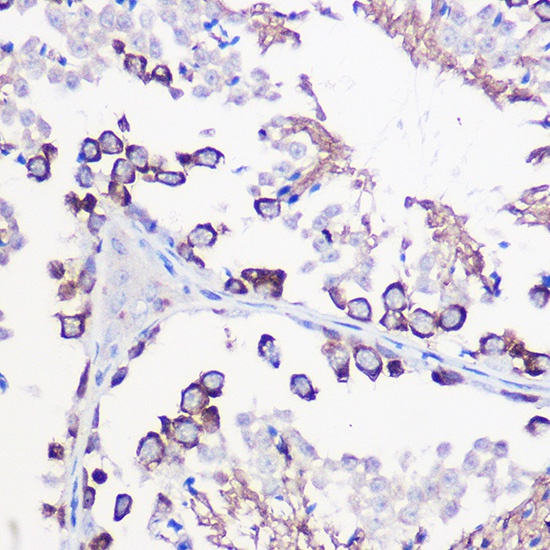
Immunohistochemistry analysis of paraffin-embedded Mouse testis using DAZL Rabbit pAb (CAB13970) at dilution of 1:100 (40x lens). High pressure antigen retrieval performed with 0.01M Citrate buffer (pH 6.0) prior to IHC staining.
Immunofluorescence analysis of paraffin-embedded rat testis using DAZL Rabbit pAb (CAB13970) at dilution of 1:100 (40x lens). Secondary antibody: Cy3-conjugated Goat anti-Rabbit IgG (H+L) (CABS007) at 1:500 dilution. Blue: DAPI for nuclear staining.