The BAIAP2L1 Antibody (CAB8238) is a high-quality antibody developed for reliable detection and analysis of target proteins. This antibody, produced in rabbits, is highly specific to human samples and has been validated for use in Western blot applications. By binding to the BAIAP2L1 protein, this antibody enables accurate detection and analysis in a variety of cell types, making it a versatile option for studies in cell biology and research on diseases related to cell movement and organization.BAIAP2L1, also known as Brain-Specific Angiogenesis Inhibitor 1-Associated Protein 2-Like Protein 1, plays a critical role in regulating actin dynamics and cell adhesion, making it a key player in processes such as cell motility and signal transduction.
This antibody is validated for use in WB, ELISA applications and has demonstrated reactivity against Human, Mouse samples.
Product Name:
BAIAP2L1 Antibody
SKU:
CAB8238
Size:
20μL, 100μL
Reactivity:
Human, Mouse
Conjugate:
Unconjugated
Immunogen:
Recombinant protein (or fragment).This information is considered to be commercially sensitive.
Recommended starting concentration is 1 μg/mL. Please optimize the concentration based on your specific assay requirements.
Synonyms:
IRTKS, BAIAP2L1
Positive Sample:
HepG2, HeLa, 293T, A-549, Mouse lung
Cellular Localization:
Cytoplasm, Cytoskeleton.
Calculated MW:
57kDa
Observed MW:
57kDa
This gene encodes a member of the IMD (IRSp53/MIM homology domain) family. Members of this family can be subdivided in two groups, the IRSp53-like and MIM-like, based on the presence or absence of the SH3 (Src homology 3) domain. The protein encoded by this gene contains a conserved IMD, also known as F-actin bundling domain, at the N-terminus, and a canonical SH3 domain near the C-terminus, so it belongs to the IRSp53-like group. This protein is the substrate for insulin receptor tyrosine kinase and binds to the small GTPase Rac. It is involved in signal transduction pathways that link deformation of the plasma membrane and remodeling of the actin cytoskeleton. It also promotes actin assembly and membrane protrusions when overexpressed in mammalian cells, and is essential to the formation of a potent actin assembly complex during EHEC (Enterohemorrhagic Escherichia coli) pedestal formation.
Purification Method
Affinity purification
Gene ID
55971
RRID
AB_2768560
Buffer Information
Store at -20℃. Avoid freeze / thaw cycles. Buffer: PBS with 0.01% thimerosal,50% glycerol,pH7.3.
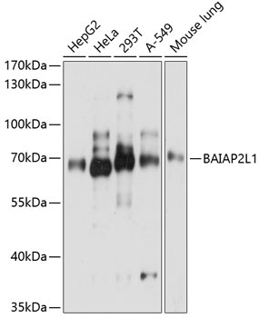
Western blot analysis of various lysates using BAIAP2L1 Rabbit pAb (CAB8238) at 1:3000 dilution. Secondary antibody: HRP-conjugated Goat anti-Rabbit IgG (H+L) (CABS014) at 1:10000 dilution. Lysates/proteins: 25μg per lane. Blocking buffer: 3% nonfat dry milk in TBST. Detection: ECL Basic Kit (AbGn00020). Exposure time: 5s.