The BAP31 Antibody (CAB7056) is a high-quality antibody developed for reliable detection and analysis of target proteins. This antibody, produced in rabbits, exhibits high reactivity with human samples and is validated for use in Western blot applications. It binds specifically to the BCAP31 protein, allowing for accurate detection and analysis in a variety of cell types.BCAP31 is a critical player in cellular processes such as protein trafficking, apoptosis, and immune response regulation. Dysregulation of BCAP31 has been linked to various diseases, including cancer and autoimmune disorders.
This antibody is validated for use in WB, IF/ICC, IP, ELISA applications and has demonstrated reactivity against Human, Mouse, Rat samples.
Product Name:
BAP31 Antibody
SKU:
CAB7056
Size:
20μL, 100μL
Reactivity:
Human, Mouse, Rat
Conjugate:
Unconjugated
Immunogen:
Recombinant protein (or fragment).This information is considered to be commercially sensitive.
This gene encodes a member of the B-cell receptor associated protein 31 superfamily. The encoded protein is a multi-pass transmembrane protein of the endoplasmic reticulum that is involved in the anterograde transport of membrane proteins from the endoplasmic reticulum to the Golgi and in caspase 8-mediated apoptosis. Microdeletions in this gene are associated with contiguous ABCD1/DXS1375E deletion syndrome (CADDS), a neonatal disorder. Alternative splicing of this gene results in multiple transcript variants. Two related pseudogenes have been identified on chromosome 16.
Purification Method
Affinity purification
Gene ID
10134
RRID
AB_2767611
Buffer Information
Store at -20℃. Avoid freeze / thaw cycles. Buffer: PBS containing 50% glycerol, preserved with proclin300 or sodium azide, pH 7.3.
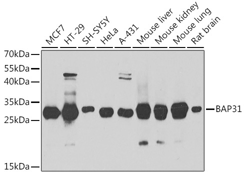
Western blot analysis of various lysates using BAP31 Rabbit pAb (CAB7056) at 1:1000 dilution. Secondary antibody: HRP-conjugated Goat anti-Rabbit IgG (H+L) (CABS014) at 1:10000 dilution. Lysates/proteins: 25μg per lane. Blocking buffer: 3% nonfat dry milk in TBST. Detection: ECL Basic Kit (AbGn00020). Exposure time: 10s.
Immunofluorescence analysis of U2OS cells using BAP31 Rabbit pAb (CAB7056). Secondary antibody: Cy3-conjugated Goat anti-Rabbit IgG (H+L) (CABS007) at 1:500 dilution. Blue: DAPI for nuclear staining.