The BCCIP Antibody (CAB8586) is a high-quality antibody developed for reliable detection and analysis of target proteins. This antibody, produced in rabbits, exhibits high specificity and sensitivity towards human samples, making it an ideal choice for Western blot applications.BCCIP, also known as BCC-interacting protein, plays a crucial role in maintaining genomic stability and proper cell division. Dysregulation of BCCIP has been linked to cancer development and progression, making it a promising target for cancer research.
This antibody is validated for use in WB, IHC-P, ELISA applications and has demonstrated reactivity against Human, Mouse, Rat samples.
Product Name:
BCCIP Antibody
SKU:
CAB8586
Size:
20μL, 100μL
Reactivity:
Human, Mouse, Rat
Conjugate:
Unconjugated
Immunogen:
Recombinant protein (or fragment).This information is considered to be commercially sensitive.
Recommended starting concentration is 1 μg/mL. Please optimize the concentration based on your specific assay requirements.
Synonyms:
TOK1, TOK-1, BCCIP
Positive Sample:
SKOV3, HeLa, Mouse brain, Mouse liver, Mouse small intestine
Cellular Localization:
Nucleus.
Calculated MW:
36kDa
Observed MW:
50kDa
This gene product was isolated on the basis of its interaction with BRCA2 and p21 proteins. It is an evolutionarily conserved nuclear protein with multiple interacting domains. The N-terminal half shares moderate homology with regions of calmodulin and M-calpain, suggesting that it may also bind calcium. Functional studies indicate that this protein may be an important cofactor for BRCA2 in tumor suppression, and a modulator of CDK2 kinase activity via p21. This protein has also been implicated in the regulation of BRCA2 and RAD51 nuclear focus formation, double-strand break-induced homologous recombination, and cell cycle progression. Multiple transcript variants encoding different isoforms have been described for this gene.
Purification Method
Affinity purification
Gene ID
56647
RRID
AB_2768573
Buffer Information
Store at -20℃. Avoid freeze / thaw cycles. Buffer: PBS containing 50% glycerol, preserved with proclin300 or sodium azide, pH 7.3.
Western blot analysis of various lysates using BCCIP Rabbit pAb (CAB8586) at 1:1000 dilution. Secondary antibody: HRP-conjugated Goat anti-Rabbit IgG (H+L) (CABS014) at 1:10000 dilution. Lysates/proteins: 25μg per lane. Blocking buffer: 3% nonfat dry milk in TBST. Detection: ECL Basic Kit (AbGn00020). Exposure time: 90s.
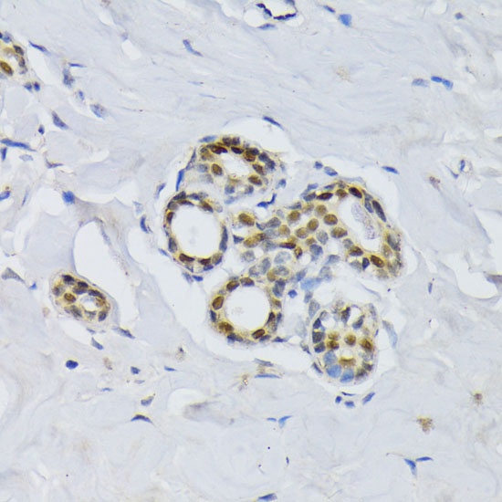
Immunohistochemistry analysis of paraffin-embedded Human breast using BCCIP Rabbit pAb (CAB8586) at dilution of 1:100 (40x lens). Microwave antigen retrieval performed with 0.01M PBS Buffer (pH 7.2) prior to IHC staining.