The BFAR Antibody (CAB8308) is a high-quality antibody developed for reliable detection and analysis of target proteins. This antibody, generated in rabbits, exhibits a high reactivity with human samples and has been validated for use in Western blot applications. By specifically binding to the BFAR protein, researchers can effectively detect and analyze its expression in different cell types, making it ideal for studies in cell biology and cancer research.
This antibody is validated for use in WB, IF/ICC, ELISA applications and has demonstrated reactivity against Human, Mouse, Rat samples.
Product Name:
BFAR Antibody
SKU:
CAB8308
Size:
20μL, 100μL
Reactivity:
Human, Mouse, Rat
Conjugate:
Unconjugated
Immunogen:
Recombinant protein (or fragment).This information is considered to be commercially sensitive.
Enables caspase binding activity; protein-macromolecule adaptor activity; and ubiquitin protein ligase activity. Involved in negative regulation of IRE1-mediated unfolded protein response; proteasome-mediated ubiquitin-dependent protein catabolic process; and protein ubiquitination. Acts upstream of or within negative regulation of apoptotic process. Located in endoplasmic reticulum and membrane.
Purification Method
Affinity purification
Gene ID
51283
RRID
AB_2768594
Buffer Information
Store at -20℃. Avoid freeze / thaw cycles. Buffer: PBS containing 50% glycerol, preserved with proclin300 or sodium azide, pH 7.3.
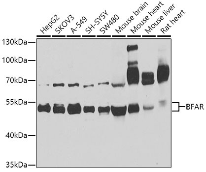
Western blot analysis of various lysates using BFAR Rabbit pAb (CAB8308) at 1:1000 dilution. Secondary antibody: HRP-conjugated Goat anti-Rabbit IgG (H+L) (CABS014) at 1:10000 dilution. Lysates/proteins: 25μg per lane. Blocking buffer: 3% nonfat dry milk in TBST. Detection: ECL Basic Kit (AbGn00020). Exposure time: 1s.
Immunofluorescence analysis of C6 cells using BFAR Rabbit pAb (CAB8308) at dilution of 1:100 (40x lens). Secondary antibody: Cy3-conjugated Goat anti-Rabbit IgG (H+L) (CABS007) at 1:500 dilution. Blue: DAPI for nuclear staining.
Immunofluorescence analysis of U-2 OS cells using BFAR Rabbit pAb (CAB8308) at dilution of 1:100 (40x lens). Secondary antibody: Cy3-conjugated Goat anti-Rabbit IgG (H+L) (CABS007) at 1:500 dilution. Blue: DAPI for nuclear staining.