The BHLHE40 Antibody (CAB6534) is a high-quality antibody developed for reliable detection and analysis of target proteins. This antibody, produced in rabbits, is highly specific to human samples and is optimized for use in Western blot applications. By binding to the BHLHE40 protein, this antibody allows for the detection and analysis of BHLHE40 in various cell types, making it ideal for studies in molecular biology and developmental biology.
This antibody is validated for use in WB, IHC-P, ELISA applications and has demonstrated reactivity against Human, Mouse, Rat samples.
Product Name:
BHLHE40 Antibody
SKU:
CAB6534
Size:
20μL, 100μL
Reactivity:
Human, Mouse, Rat
Conjugate:
Unconjugated
Immunogen:
Recombinant protein (or fragment).This information is considered to be commercially sensitive.
This gene encodes a basic helix-loop-helix protein expressed in various tissues. The encoded protein can interact with ARNTL or compete for E-box binding sites in the promoter of PER1 and repress CLOCK/ARNTL's transactivation of PER1. This gene is believed to be involved in the control of circadian rhythm and cell differentiation.
Purification Method
Affinity purification
Gene ID
8553
RRID
AB_2767127
Buffer Information
Store at -20℃. Avoid freeze / thaw cycles. Buffer: PBS containing 50% glycerol, preserved with proclin300 or sodium azide, pH 7.3.
Western blot analysis of various lysates using BHLHE40 Rabbit pAb (CAB6534) at 1:1000 dilution. Secondary antibody: HRP-conjugated Goat anti-Rabbit IgG (H+L) (CABS014) at 1:10000 dilution. Lysates/proteins: 25μg per lane. Blocking buffer: 3% nonfat dry milk in TBST. Detection: ECL Basic Kit (AbGn00020). Exposure time: 90s.
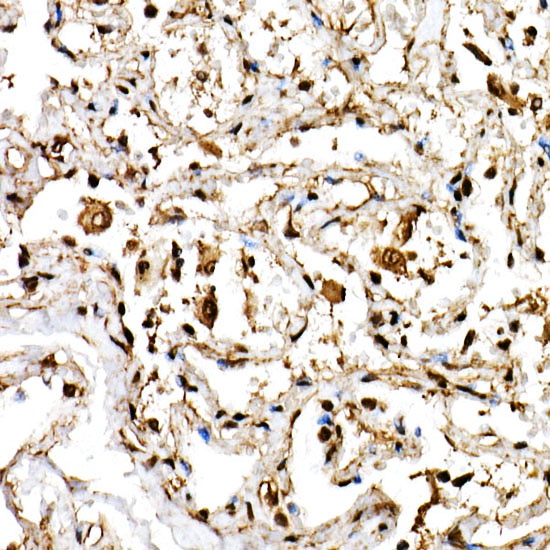
Immunohistochemistry analysis of paraffin-embedded Human lung using BHLHE40 Rabbit pAb (CAB6534) at dilution of 1:100 (40x lens). High pressure antigen retrieval performed with 0.01M Citrate buffer (pH 6.0) prior to IHC staining.
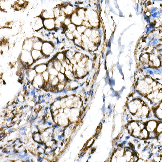
Immunohistochemistry analysis of paraffin-embedded Rat colon using BHLHE40 Rabbit pAb (CAB6534) at dilution of 1:100 (40x lens). High pressure antigen retrieval performed with 0.01M Citrate buffer (pH 6.0) prior to IHC staining.