The BRD9 Polyclonal Antibody (CAB7133) is a high-quality antibody developed for reliable detection and analysis of target proteins. This antibody, produced in rabbits, exhibits strong reactivity with human samples and is validated for use in Western blot applications. By specifically binding to BRD9, this antibody enables precise detection and analysis of the protein in various cell types, making it an essential tool for studies in epigenetics, gene expression, and cancer research.BRD9 plays a crucial role in the modulation of gene expression through chromatin remodeling, making it a promising target for therapeutic intervention in diseases like cancer, where dysregulation of gene expression contributes to disease progression.
This antibody is validated for use in WB, IHC-P, ELISA applications and has demonstrated reactivity against Human, Mouse, Rat samples.
Product Name:
BRD9 Polyclonal Antibody
SKU:
CAB7133
Size:
20μL, 100μL
Reactivity:
Human, Mouse, Rat
Conjugate:
Unconjugated
Immunogen:
Recombinant protein (or fragment).This information is considered to be commercially sensitive.
Recommended starting concentration is 1 μg/mL. Please optimize the concentration based on your specific assay requirements.
Synonyms:
PRO9856, SMARCI2, LAVS3040, BRD9
Positive Sample:
RAW264.7, Neuro-2a, C6
Cellular Localization:
Nucleoplasm, Nucleus.
Calculated MW:
67kDa
Observed MW:
80kDa
Enables lysine-acetylated histone binding activity. Predicted to be involved in regulation of transcription by RNA polymerase II. Located in nucleoplasm. Part of SWI/SNF complex.
Purification Method
Affinity purification
Gene ID
65980
RRID
AB_2767688
Buffer Information
Store at -20℃. Avoid freeze / thaw cycles. Buffer: PBS containing 50% glycerol, preserved with proclin300 or sodium azide, pH 7.3.
Western blot analysis of various lysates using BRD9 Rabbit pAb (CAB7133) at 1:500 dilution. Secondary antibody: HRP-conjugated Goat anti-Rabbit IgG (H+L) (CABS014) at 1:10000 dilution. Lysates/proteins: 25μg per lane. Blocking buffer: 3% nonfat dry milk in TBST. Detection: ECL Basic Kit (AbGn00020). Exposure time: 3s.
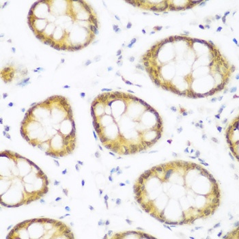
Immunohistochemistry analysis of paraffin-embedded Human colon using BRD9 Rabbit pAb (CAB7133) at dilution of 1:200 (40x lens). Microwave antigen retrieval performed with 0.01M PBS Buffer (pH 7.2) prior to IHC staining.