The BUB1 Antibody (CAB1929) is a high-quality antibody developed for reliable detection and analysis of target proteins. This gene encodes a serine/threonine-protein kinase that play a central role in mitosis. The encoded protein functions in part by phosphorylating members of the mitotic checkpoint complex and activating the spindle checkpoint. This protein also plays a role in inhibiting the activation of the anaphase promoting complex/cyclosome. This protein may also function in the DNA damage response. Mutations in this gene have been associated with aneuploidy and several forms of cancer. Alternate splicing results in multiple transcript variants. RRID AB_2763956 Gene ID 699 Swiss Prot Synonym BUB1A; BUB1L; hBUB1; MCPH30; BUB1
This antibody is validated for use in WB, ELISA applications and has demonstrated reactivity against Human, Mouse samples.
Product Name:
BUB1 Antibody
SKU:
CAB1929
Size:
100μL, 20μL
Reactivity:
Human, Mouse
Clone Number:
-
Conjugate:
Unconjugated
Immunogen:
Recombinant protein (or fragment).This information is considered to be commercially sensitive.
Tested Applications:
WBELISA
Recommended Dilution:
WB
1:500 - 1:1000
ELISA
Recommended starting concentration is 1 μg/mL. Please optimize the concentration based on your specific assay requirements.
Synonyms:
BUB1A, BUB1L, hBUB1, MCPH30, BUB1
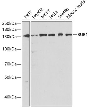
Positive Sample:
293T, HepG2, MCF7, HeLa, SW480, Mouse testis
Cellular Localization:
Chromosome, Nucleus, Centromere, Kinetochore.
Calculated MW:
122kDa
Observed MW:
133kDa
This gene encodes a serine/threonine-protein kinase that play a central role in mitosis. The encoded protein functions in part by phosphorylating members of the mitotic checkpoint complex and activating the spindle checkpoint. This protein also plays a role in inhibiting the activation of the anaphase promoting complex/cyclosome. This protein may also function in the DNA damage response. Mutations in this gene have been associated with aneuploidy and several forms of cancer. Alternate splicing results in multiple transcript variants. RRID AB_2763956 Gene ID 699 Swiss Prot Synonym BUB1A; BUB1L; hBUB1; MCPH30; BUB1
Purification Method:
Affinity purification
Gene ID:
699
RRID:
AB_2763956
Buffer Information:
Store at -20℃. Avoid freeze / thaw cycles. Buffer: PBS containing 50% glycerol, preserved with proclin300 or sodium azide, pH 7.3.
Western blot analysis of various lysates using BUB1 Rabbit pAb (CAB1929) at 1:1000 dilution. Secondary antibody: HRP-conjugated Goat anti-Rabbit IgG (H+L) (AS014) at 1:10000 dilution. Lysates/proteins: 25μg per lane. Blocking buffer: 3% nonfat dry milk in TBST.