The C9orf72 Antibody (CAB15970) is a high-quality antibody developed for reliable detection and analysis of target proteins. This antibody, produced in rabbits, exhibits high specificity and sensitivity towards human samples, making it an ideal choice for various research applications, including Western blotting.
This antibody is validated for use in WB, IHC-P, IF/ICC, ELISA applications and has demonstrated reactivity against Human, Mouse, Rat samples.
Product Name:
C9orf72 Antibody
SKU:
CAB15970
Size:
20μL, 100μL
Reactivity:
Human, Mouse, Rat
Conjugate:
Unconjugated
Immunogen:
Recombinant protein (or fragment).This information is considered to be commercially sensitive.
The protein encoded by this gene plays an important role in the regulation of endosomal trafficking, and has been shown to interact with Rab proteins that are involved in autophagy and endocytic transport. Expansion of a GGGGCC repeat from 2-22 copies to 700-1600 copies in the intronic sequence between alternate 5' exons in transcripts from this gene is associated with 9p-linked ALS (amyotrophic lateral sclerosis) and FTD (frontotemporal dementia) (PMID: 21944778, 21944779). Studies suggest that hexanucleotide expansions could result in the selective stabilization of repeat-containing pre-mRNA, and the accumulation of insoluble dipeptide repeat protein aggregates that could be pathogenic in FTD-ALS patients (PMID: 23393093). Alternative splicing results in multiple transcript variants encoding different isoforms.
Purification Method
Affinity purification
Gene ID
203228
RRID
AB_2763408
Buffer Information
Store at -20℃. Avoid freeze / thaw cycles. Buffer: PBS with 0.01% thimerosal,50% glycerol,pH7.3.
Western blot analysis of various lysates using C9orf72 Rabbit pAb (CAB15970) at 1:1000 dilution. Secondary antibody: HRP-conjugated Goat anti-Rabbit IgG (H+L) (CABS014) at 1:10000 dilution. Lysates/proteins: 25μg per lane. Blocking buffer: 3% nonfat dry milk in TBST. Detection: ECL Basic Kit (AbGn00020). Exposure time: 90s.
Western blot analysis of lysates from Rat brain, using C9orf72 Rabbit pAb (CAB15970) at 1:1000 dilution. Secondary antibody: HRP-conjugated Goat anti-Rabbit IgG (H+L) (CABS014) at 1:10000 dilution. Lysates/proteins: 25μg per lane. Blocking buffer: 3% nonfat dry milk in TBST. Detection: ECL Basic Kit (AbGn00020). Exposure time: 180s.
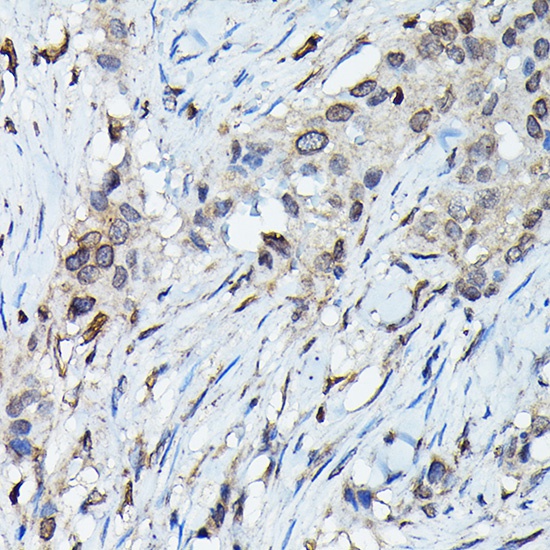
Immunohistochemistry analysis of paraffin-embedded Human esophageal cancer using C9orf72 Rabbit pAb (CAB15970) at dilution of 1:100 (40x lens). High pressure antigen retrieval performed with 0.01M Citrate buffer (pH 6.0) prior to IHC staining.
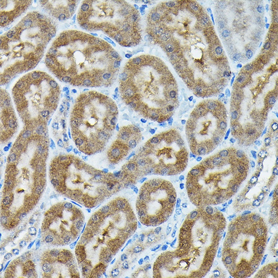
Immunohistochemistry analysis of paraffin-embedded Mouse kidney using C9orf72 Rabbit pAb (CAB15970) at dilution of 1:100 (40x lens). High pressure antigen retrieval performed with 0.01M Citrate buffer (pH 6.0) prior to IHC staining.
Immunofluorescence analysis of NIH/3T3 cells using C9orf72 Rabbit pAb (CAB15970) at dilution of 1:100 (40x lens). Secondary antibody: Cy3-conjugated Goat anti-Rabbit IgG (H+L) (CABS007) at 1:500 dilution. Blue: DAPI for nuclear staining.
Immunofluorescence analysis of U2OS cells using C9orf72 Rabbit pAb (CAB15970) at dilution of 1:100 (40x lens). Secondary antibody: Cy3-conjugated Goat anti-Rabbit IgG (H+L) (CABS007) at 1:500 dilution. Blue: DAPI for nuclear staining.