The CABP1 Antibody (CAB18406) is a high-quality antibody developed for reliable detection and analysis of target proteins. This rabbit polyclonal antibody is highly specific to human samples and has been validated for use in Western blot and immunofluorescence applications.CABP1, also known as calcium-binding protein 1, is essential for the regulation of intracellular calcium levels and synaptic transmission in neurons. Dysregulation of CABP1 has been linked to neurological disorders such as epilepsy and Alzheimer's disease, making it an important target for research in neuroscience and neurodegenerative diseases.
This antibody is validated for use in WB, IHC-P, ELISA applications and has demonstrated reactivity against Human, Mouse, Rat samples.
Product Name:
CABP1 Antibody
SKU:
CAB18406
Size:
20μL, 100μL
Reactivity:
Human, Mouse, Rat
Immunogen:
Synthetic peptide. This information is considered to be commercially sensitive.
Recommended starting concentration is 1 μg/mL. Please optimize the concentration based on your specific assay requirements.
Synonyms:
CALBRAIN, HCALB_BR, CABP1
Positive Sample:
Mouse brain, Rat brain
Cellular Localization:
Cell Cortex, Cytoplasm, Cytoskeleton, Extracellular Space, Perinuclear Region Of Cytoplasm, Plasma Membrane, Postsynaptic Density.
Calculated MW:
40kDa
Observed MW:
25kDa
Calcium binding proteins are an important component of calcium mediated cellular signal transduction. This gene encodes a protein that belongs to a subfamily of calcium binding proteins which share similarity to calmodulin. The protein encoded by this gene regulates the gating of voltage-gated calcium ion channels. This protein inhibits calcium-dependent inactivation and supports calcium-dependent facilitation of ion channels containing voltage-dependent L-type calcium channel subunit alpha-1C. This protein also regulates calcium-dependent activity of inositol 1,4,5-triphosphate receptors, P/Q-type voltage-gated calcium channels, and transient receptor potential channel TRPC5. This gene is predominantly expressed in retina and brain. Alternative splicing results in multiple transcript variants encoding disinct isoforms.
Purification Method
Affinity purification
Gene ID
9478
RRID
AB_2862173
Buffer Information
Store at -20℃. Avoid freeze / thaw cycles. Buffer: PBS with 0.01% thimerosal,50% glycerol,pH7.3.
Western blot analysis of various lysates using CABP1 Rabbit pAb (CAB18406) at 1:1000 dilution. Secondary antibody: HRP-conjugated Goat anti-Rabbit IgG (H+L) (CABS014) at 1:10000 dilution. Lysates/proteins: 25μg per lane. Blocking buffer: 3% nonfat dry milk in TBST. Detection: ECL Basic Kit (AbGn00020). Exposure time: 180s.
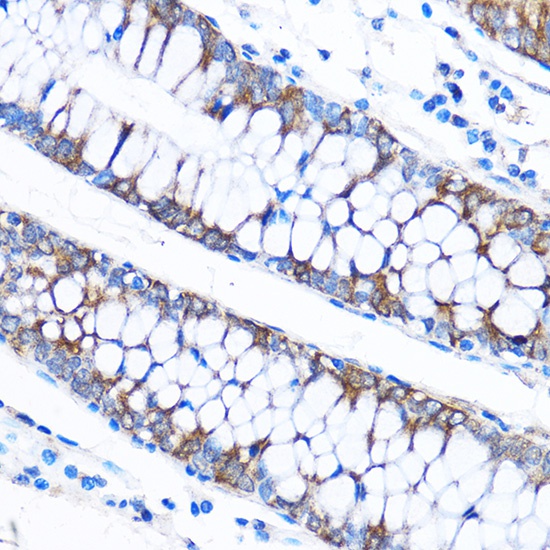
Immunohistochemistry analysis of paraffin-embedded Human colon using CABP1 Rabbit pAb (CAB18406) at dilution of 1:50 (40x lens). Microwave antigen retrieval performed with 0.01M PBS Buffer (pH 7.2) prior to IHC staining.