The CACNA2D3 Antibody (CAB10315) is a high-quality antibody developed for reliable detection and analysis of target proteins. This gene encodes a member of the alpha-2/delta subunit family, a protein in the voltage-dependent calcium channel complex. Calcium channels mediate the influx of calcium ions into the cell upon membrane polarization and consist of a complex of alpha-1, alpha-2/delta, beta, and gamma subunits in a 1:1:1:1 ratio. Various versions of each of these subunits exist, either expressed from similar genes or the result of alternative splicing. Research on a highly similar protein in rabbit suggests the protein described in this record is cleaved into alpha-2 and delta subunits. Alternate transcriptional splice variants of this gene have been observed but have not been thoroughly characterized. RRID AB_2757859 Gene ID 55799 Swiss Prot Synonym HSA272268; CACNA2D3
This antibody is validated for use in WB, ELISA applications and has demonstrated reactivity against Human, Mouse, Rat samples.
Product Name:
CACNA2D3 Antibody
SKU:
CAB10315
Size:
100μL, 20μL
Reactivity:
Human, Mouse, Rat
Clone Number:
-
Conjugate:
Unconjugated
Immunogen:
Recombinant protein (or fragment).This information is considered to be commercially sensitive.
Tested Applications:
WBELISA
Recommended Dilution:
WB
1:1000 - 1:2000
ELISA
Recommended starting concentration is 1 μg/mL. Please optimize the concentration based on your specific assay requirements.
Synonyms:
HSA272268, CACNA2D3
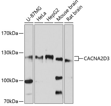
Positive Sample:
U-87MG, HeLa, HepG2, Mouse brain, Rat brain
Cellular Localization:
Membrane, Single-Pass Type I Membrane Protein.
Calculated MW:
123kDa
Observed MW:
123kDa
This gene encodes a member of the alpha-2/delta subunit family, a protein in the voltage-dependent calcium channel complex. Calcium channels mediate the influx of calcium ions into the cell upon membrane polarization and consist of a complex of alpha-1, alpha-2/delta, beta, and gamma subunits in a 1:1:1:1 ratio. Various versions of each of these subunits exist, either expressed from similar genes or the result of alternative splicing. Research on a highly similar protein in rabbit suggests the protein described in this record is cleaved into alpha-2 and delta subunits. Alternate transcriptional splice variants of this gene have been observed but have not been thoroughly characterized. RRID AB_2757859 Gene ID 55799 Swiss Prot Synonym HSA272268; CACNA2D3
Purification Method:
Affinity purification
Gene ID:
55799
RRID:
AB_2757859
Buffer Information:
Store at -20℃. Avoid freeze / thaw cycles. Buffer: PBS containing 50% glycerol, preserved with proclin300 or sodium azide, pH 7.3.
Western blot analysis of various lysates using CACNA2D3 Rabbit pAb (CAB10315) at 1:3000 dilution. Secondary antibody: HRP-conjugated Goat anti-Rabbit IgG (H+L) (AS014) at 1:10000 dilution. Lysates/proteins: 25μg per lane. Blocking buffer: 3% nonfat dry milk in TBST. Detection: ECL Basic Kit (AbGn00020). Exposure time: 10s.