Description
Anti-CALCA Antibody (MACO0553)
The CALCA Monoclonal Antibody (MACO0553) is a specialized tool for researchers studying the CALCA gene, which encodes the prohormone calcitonin. This antibody, generated from mouse hybridoma cells, has high specificity and sensitivity for detecting CALCA protein in samples from various species, making it a valuable asset for studies in endocrinology and neuroscience.CALCA is a crucial player in calcium homeostasis, as it regulates calcium levels in the body through its role in bone remodeling and calcium metabolism.
Dysregulation of CALCA has been linked to conditions such as osteoporosis and hypercalcemia, making it a target for therapeutic interventions. By using the MACO0553 antibody, researchers can explore the expression and function of CALCA in different tissues and physiological processes, enhancing our understanding of its involvement in health and disease.
| Product Name: | Anti-CALCA Antibody |
| Product Sku: | MACO0553 |
| Size: | 50ug |
| Host Species: | Mouse |
| Tested Applications: | ELISA, IHC |
| Recommended Dilutions: | IHC:1:50-1:500 |
| Species Reactivity: | Human |
| Immunogen: | Recombinant Human PCT |
| Form: | Liquid |
| Storage Buffer: | Preservative: 0.03% Proclin 300 Constituents: 50% Glycerol, 0.01M PBS, PH 7.4 |
| Purification Method: | >95%,Protein G purified |
| Clonality: | Monoclonal |
| Isotype: | IgG |
| Conjugate: | Non-conjugated |
| Background: | |
| Synonyms: | PCT |
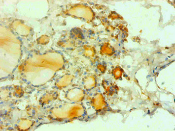
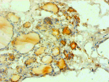
![]() | Immunohistochemical of paraffin-embedded human thyroid tissues using MACO0553 at dilution of 1:200 |
| UniProt Protein Function: | CALCA: Calcitonin causes a rapid but short-lived drop in the level of calcium and phosphate in blood by promoting the incorporation of those ions in the bones. Belongs to the calcitonin family. 3 isoforms of the human protein are produced by alternative splicing. |
| UniProt Protein Details: | Protein type:Secreted; Secreted, signal peptide Chromosomal Location of Human Ortholog: 11p15.2 Cellular Component: extracellular region; extracellular space Molecular Function:calcitonin receptor binding; identical protein binding; protein binding Biological Process: activation of protein kinase activity; cellular protein metabolic process; elevation of cytosolic calcium ion concentration; elevation of cytosolic calcium ion concentration during G-protein signaling, coupled to IP3 second messenger (phospholipase C activating); embryo implantation; monocyte chemotaxis; negative regulation of bone resorption; negative regulation of transcription, DNA-dependent; positive regulation of adenylate cyclase activity |
| NCBI Summary: | This gene encodes the peptide hormones calcitonin, calcitonin gene-related peptide and katacalcin by tissue-specific alternative RNA splicing of the gene transcripts and cleavage of inactive precursor proteins. Calcitonin is involved in calcium regulation and acts to regulate phosphorus metabolism. Calcitonin gene-related peptide functions as a vasodilator and as an antimicrobial peptide while katacalcin is a calcium-lowering peptide. Multiple transcript variants encoding different isoforms have been found for this gene.[provided by RefSeq, Aug 2014] |
| UniProt Code: | P01258 |
| NCBI GenInfo Identifier: | 322510018 |
| NCBI Gene ID: | 796 |
| NCBI Accession: | P01258.2 |
| UniProt Secondary Accession: | P01258,Q13935, Q13937, Q52LX7, B7ZL39, |
| UniProt Related Accession: | P01258,P06881 |
| Molecular Weight: | 38.6kDa |
| NCBI Full Name: | Calcitonin |
| NCBI Synonym Full Names: | calcitonin related polypeptide alpha |
| NCBI Official Symbol: | CALCAÂ Â |
| NCBI Official Synonym Symbols: | CT; KC; PCT; CGRP; CALC1; CGRP1; CGRP-IÂ Â |
| NCBI Protein Information: | calcitonin; calcitonin gene-related peptide 1 |
| UniProt Protein Name: | Calcitonin |
| UniProt Synonym Protein Names: | CalcitoninKatacalcinAlternative name(s):Calcitonin carboxyl-terminal peptide; CCP |
| UniProt Gene Name: | CALCAÂ Â |
