The CAMKK1 Antibody (CAB16716) is a high-quality antibody developed for reliable detection and analysis of target proteins. This antibody, produced in rabbits, exhibits high specificity and sensitivity towards human samples, making it a reliable choice for Western blot applications.CAMKK1, also known as calcium/calmodulin-dependent protein kinase kinase 1, is involved in various cellular processes such as cell growth, differentiation, and survival. Its dysregulation has been linked to diseases like cancer, diabetes, and neurodegenerative disorders, highlighting the importance of studying its function.
This antibody is validated for use in WB, IHC-P, ELISA applications and has demonstrated reactivity against Human, Mouse samples.
Product Name:
CAMKK1 Antibody
SKU:
CAB16716
Size:
20μL, 100μL
Reactivity:
Human, Mouse
Conjugate:
Unconjugated
Immunogen:
Recombinant protein (or fragment).This information is considered to be commercially sensitive.
Recommended starting concentration is 1 μg/mL. Please optimize the concentration based on your specific assay requirements.
Synonyms:
CAMKKA, CAMKK1
Positive Sample:
LO2, HeLa, A-549
Cellular Localization:
Cytoplasm, Nucleus.
Calculated MW:
56kDa
Observed MW:
56kDa
The product of this gene belongs to the Serine/Threonine protein kinase family, and to the Ca(2+)/calmodulin-dependent protein kinase subfamily. This protein plays a role in the calcium/calmodulin-dependent (CaM) kinase cascade. Three transcript variants encoding two distinct isoforms have been identified for this gene.
Purification Method
Affinity purification
Gene ID
84254
RRID
AB_2768696
Buffer Information
Store at -20℃. Avoid freeze / thaw cycles. Buffer: PBS with 0.01% thimerosal,50% glycerol,pH7.3.
Western blot analysis of various lysates using CAMKK1 Rabbit pAb (CAB16716) at 1:1000 dilution. Secondary antibody: HRP-conjugated Goat anti-Rabbit IgG (H+L) (CABS014) at 1:10000 dilution. Lysates/proteins: 25μg per lane. Blocking buffer: 3% nonfat dry milk in TBST. Detection: ECL Basic Kit (AbGn00020). Exposure time: 90s.
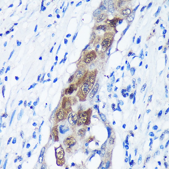
Immunohistochemistry analysis of paraffin-embedded Human lung cancer using CAMKK1 Rabbit pAb (CAB16716) at dilution of 1:100 (40x lens). Microwave antigen retrieval performed with 0.01M PBS Buffer (pH 7.2) prior to IHC staining.