The CAND1 Antibody (CAB14287) is a high-quality antibody developed for reliable detection and analysis of target proteins. CAND1 is involved in the regulation of Cullin-RING ubiquitin ligase (CRL) complexes, making it critical for the control of protein degradation and cell cycle progression. This polyclonal antibody, generated in rabbits, is highly specific for human samples and is validated for use in Western blotting applications.By binding to CAND1, this antibody enables the detection and analysis of the protein in various cell types, making it ideal for studies in the fields of cell biology and cancer research.
This antibody is validated for use in WB, IHC-P, ELISA applications and has demonstrated reactivity against Human, Mouse, Rat samples.
Product Name:
CAND1 Antibody
SKU:
CAB14287
Size:
20μL, 100μL
Reactivity:
Human, Mouse, Rat
Conjugate:
Unconjugated
Immunogen:
Recombinant protein (or fragment).This information is considered to be commercially sensitive.
This gene encodes an essential regulator of Cullin-RING ubiquitin ligases, which are in involved in ubiquitinylation of proteins degraded by the Ub proteasome system. The encoded protein binds to unneddylated cullin-RING box protein complexes and acts as an inhibitor of cullin neddylation and of Skp1, cullin, and F box ubiquitin ligase complex assembly and activity. In mammalian cell culture, this protein predominantly localizes to the cytoplasm. Knockdown of this gene in preadipocytes results in blocked adipogenesis. Alternative splicing results in multiple transcript variants.
Purification Method
Affinity purification
Gene ID
55832
RRID
AB_2761149
Buffer Information
Store at -20℃. Avoid freeze / thaw cycles. Buffer: PBS with 0.01% thimerosal,50% glycerol,pH7.3.
Western blot analysis of various lysates using CAND1 Rabbit pAb (CAB14287) at 1:1000 dilution. Secondary antibody: HRP-conjugated Goat anti-Rabbit IgG (H+L) (CABS014) at 1:10000 dilution. Lysates/proteins: 25μg per lane. Blocking buffer: 3% nonfat dry milk in TBST. Detection: ECL Basic Kit (AbGn00020). Exposure time: 15s.
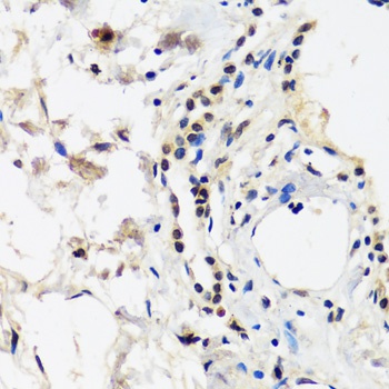
Immunohistochemistry analysis of paraffin-embedded Human lung using CAND1 Rabbit pAb (CAB14287) at dilution of 1:100 (40x lens). Microwave antigen retrieval performed with 0.01M PBS Buffer (pH 7.2) prior to IHC staining.
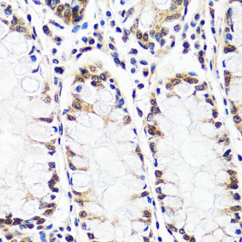
Immunohistochemistry analysis of paraffin-embedded Human colon using CAND1 Rabbit pAb (CAB14287) at dilution of 1:100 (40x lens). Microwave antigen retrieval performed with 0.01M PBS Buffer (pH 7.2) prior to IHC staining.
Immunohistochemistry analysis of paraffin-embedded Human uterine cancer using CAND1 Rabbit pAb (CAB14287) at dilution of 1:100 (40x lens). Microwave antigen retrieval performed with 0.01M PBS Buffer (pH 7.2) prior to IHC staining.