The CAND2 Antibody (CAB16500) is a high-quality antibody developed for reliable detection and analysis of target proteins. This antibody, produced in rabbits, is highly reactive with human samples and has been validated for use in Western blot applications. Cand2 is a crucial protein that plays a role in immune modulation and has been implicated in various diseases such as cancer, autoimmune disorders, and chronic inflammatory conditions. By binding to the Cand2 protein, this antibody enables researchers to detect and analyze Cand2 in different cell types, making it an ideal tool for studies in immunology and cancer research.
This antibody is validated for use in WB, IHC-P, ELISA applications and has demonstrated reactivity against Human, Mouse, Rat samples.
Product Name:
CAND2 Antibody
SKU:
CAB16500
Size:
20μL, 100μL
Reactivity:
Human, Mouse, Rat
Conjugate:
Unconjugated
Immunogen:
Recombinant protein (or fragment).This information is considered to be commercially sensitive.
Recommended starting concentration is 1 μg/mL. Please optimize the concentration based on your specific assay requirements.
Synonyms:
Tp120b, TIP120B, CAND2
Positive Sample:
HeLa, 293T, Jurkat, NIH/3T3, Mouse heart, Rat heart
Cellular Localization:
Nucleus.
Calculated MW:
135kDa
Observed MW:
130kDa
Predicted to enable TBP-class protein binding activity. Predicted to be involved in SCF complex assembly; positive regulation of transcription, DNA-templated; and protein ubiquitination. Located in cytosol.
Purification Method
Affinity purification
Gene ID
23066
RRID
AB_2768704
Buffer Information
Store at -20℃. Avoid freeze / thaw cycles. Buffer: PBS with 0.01% thimerosal,50% glycerol,pH7.3.
Western blot analysis of various lysates using CAND2 Rabbit pAb (CAB16500) at 1:1000 dilution. Secondary antibody: HRP-conjugated Goat anti-Rabbit IgG (H+L) (CABS014) at 1:10000 dilution. Lysates/proteins: 25μg per lane. Blocking buffer: 3% nonfat dry milk in TBST. Detection: ECL Basic Kit (AbGn00020). Exposure time: 15s.
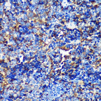
Immunohistochemistry analysis of paraffin-embedded Mouse spleen using CAND2 Rabbit pAb (CAB16500) at dilution of 1:100 (40x lens). Microwave antigen retrieval performed with 0.01M PBS Buffer (pH 7.2) prior to IHC staining.
Immunohistochemistry analysis of paraffin-embedded Human colon carcinoma using CAND2 Rabbit pAb (CAB16500) at dilution of 1:100 (40x lens). Microwave antigen retrieval performed with 0.01M PBS Buffer (pH 7.2) prior to IHC staining.