The CAPZA1 Polyclonal Antibody (CAB3776) is a valuable tool for researchers studying the CAPZA1 protein. This antibody is raised in rabbits and demonstrates high reactivity with human samples, making it suitable for use in Western blot applications.The CAPZA1 protein is known for its role in regulating actin polymerization and cell motility, making it a key player in processes such as cell migration and cytoskeletal organization. By utilizing the CAPZA1 Polyclonal Antibody, researchers can detect and analyze the protein in various cell types, providing insights into its function and potential implications in diseases such as cancer and developmental disorders.
Understanding the role of CAPZA1 in cellular processes is essential for developing targeted therapies and advancing our knowledge of the molecular mechanisms underlying various pathologies. With its validated reactivity and specificity, the CAB3776 antibody is a valuable tool for researchers looking to unravel the complexities of the CAPZA1 protein and its impact on cell biology.
Product Name:
CAPZA1 Rabbit Polyclonal Antibody
SKU:
CAB3776
Size:
20uL, 100uL
Isotype:
IgG
Host Species:
Rabbit
Reactivity:
Human,Mouse,Rat
Immunogen:
Recombinant fusion protein containing a sequence corresponding to amino acids 1-286 of human CAPZA1 (NP_006126.1).
CAPZA1 is a member of the F-actin capping protein alpha subunit family. This gene encodes the alpha subunit of the barbed-end actin binding protein. The protein regulates growth of the actin filament by capping the barbed end of growing actin filaments.
Purification Method:
Affinity purification
Gene ID:
829
Storage Buffer:
Store at -20℃. Avoid freeze / thaw cycles.Buffer: PBS with 0.02% sodium azide,50% glycerol,pH7.3.
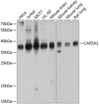
Western blot analysis of extracts of various cell lines, using CAPZA1 antibody (CAB3776) at 1:1000 dilution.Secondary antibody: HRP Goat Anti-Rabbit IgG (H+L) (CABS014) at 1:10000 dilution.Lysates/proteins: 25μg per lane.Blocking buffer: 3% nonfat dry milk in TBST.Detection: ECL Enhanced Kit (AbGn00021).Exposure time: 30s.