The CARM1 Antibody (CAB2246) is a high-quality antibody developed for reliable detection and analysis of target proteins. This antibody, generated in rabbits, is highly specific for human samples and has been validated for use in Western blot applications. By targeting the Carm1 protein, this antibody enables accurate detection and analysis in a variety of cell types, making it an excellent choice for studies in cancer research and epigenetics.Carm1 is known to play a crucial role in gene regulation, specifically in processes such as transcriptional activation and chromatin remodeling.
This antibody is validated for use in WB, IHC-P, ELISA applications and has demonstrated reactivity against Human, Mouse, Rat samples.
Product Name:
CARM1 Antibody
SKU:
CAB2246
Size:
20μL, 100μL
Reactivity:
Human, Mouse, Rat
Conjugate:
Unconjugated
Immunogen:
Recombinant protein (or fragment).This information is considered to be commercially sensitive.
Recommended starting concentration is 1 μg/mL. Please optimize the concentration based on your specific assay requirements.
Synonyms:
PRMT4, M1
Positive Sample:
293T
Cellular Localization:
Cytoplasm, Nucleus.
Calculated MW:
66kDa
Observed MW:
63kDa
This gene belongs to the protein arginine methyltransferase (PRMT) family. The encoded enzyme catalyzes the methylation of guanidino nitrogens of arginyl residues of proteins. The enzyme acts specifically on histones and other chromatin-associated proteins and is involved in regulation of gene expression. The enzyme may act in association with other proteins or within multi-protein complexes and may play a role in cell type-specific functions and cell lineage specification. A related pseudogene is located on chromosome 9.
Purification Method
Affinity purification
Gene ID
10498
RRID
AB_2764249
Buffer Information
Store at -20℃. Avoid freeze / thaw cycles. Buffer: PBS containing 50% glycerol, preserved with proclin300 or sodium azide, pH 7.3.
Western blot analysis of lysates from wild type (WT) and PRMT4/CAAbGn1 knockout (KO) 293T cells, using [KO Validated] PRMT4/CAAbGn1 Rabbit pAb (CAB2246) at 1:500 dilution. Secondary antibody: HRP-conjugated Goat anti-Rabbit IgG (H+L) (CABS014) at 1:10000 dilution. Lysates/proteins: 25μg per lane. Blocking buffer: 3% nonfat dry milk in TBST. Detection: ECL Basic Kit (AbGn00020). Exposure time: 180s.
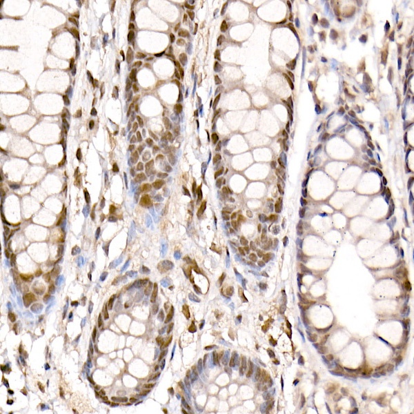
Immunohistochemistry analysis of paraffin-embedded Human colon using [KO Validated] PRMT4/CAAbGn1 Rabbit pAb (CAB2246) at dilution of 1:20 (40x lens). High pressure antigen retrieval performed with 0.01M Citrate buffer (pH 6.0) prior to IHC staining.
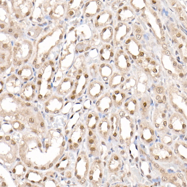
Immunohistochemistry analysis of paraffin-embedded Rat kidney using [KO Validated] PRMT4/CAAbGn1 Rabbit pAb (CAB2246) at dilution of 1:20 (40x lens). High pressure antigen retrieval performed with 0.01M Citrate buffer (pH 6.0) prior to IHC staining.