CBWD2 Antibody is a premium polyclonal that offers outstanding performance and reliability for demanding research applications. Rigorously validated for ELISA, WB, IHC, IF, this antibody ensures consistent, reproducible results across multiple experimental platforms. Demonstrates excellent reactivity with Human, Mouse samples, providing researchers with confidence in cross-species compatibility. Conveniently packaged in 50ug format to meet your experimental needs. For optimal performance, store at -20°C or -80°C and maintains stability for 12 months. Backed by rigorous quality control testing to ensure superior performance in your critical research applications.
Product Name:
CBWD2 Antibody
SKU:
PACO37778
Size:
50μg
Isotype:
IgG
Host Species:
Rabbit
Reactivity:
Human, Mouse
Immunogen:
Recombinant Human COBW domain-containing protein 2 protein (96-395AA)
Immunogen Species:
Homo sapiens (Human)
Uniprot No:
Q8IUF1
Form:
Liquid
Tested Applications:
ELISAWBIHCIF
Recommended Dilution:
Application
Recommended Dilution
WB
1:1000-1:5000
IHC
1:20-1:200
IF
1:50-1:200
Synonyms:
CBWD2 antibody, CBWD2_HUMAN antibody, Cobalamin synthase W domain-containing protein 2 antibody, Cobalamin synthetase W domain-containing protein 2 antibody, COBW domain-containing protein 2 antibody
Western Blot All lanes: CBWD2 antibody at 6µg/ml Lane 1: Mouse heart tissue Lane 2: Mouse liver tissue Lane 3: Mouse lung tissue Lane 4: Hela whole cell lysate Secondary Goat polyclonal to rabbit IgG at 1/10000 dilution Predicted band size: 45 kDa Observed band size: 45 kDa
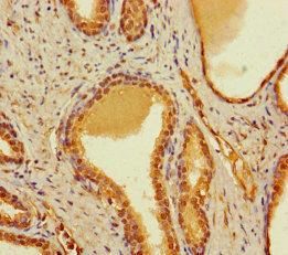
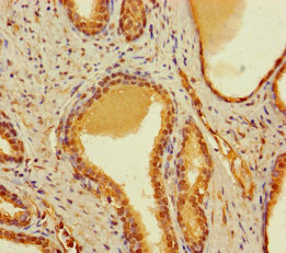
Immunohistochemistry of paraffin-embedded human prostate cancer using PACO37778 at dilution of 1:100
Immunofluorescent analysis of Hela cells using PACO37778 at dilution of 1:100 and Alexa Fluor 488-congugated AffiniPure Goat Anti-Rabbit IgG(H+L)
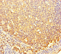
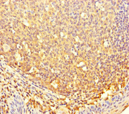
Immunohistochemistry of paraffin-embedded human tonsil tissue using PACO37778 at dilution of 1:100