The CCAR2/DBC1 Polyclonal Antibody (CAB24534) is a high-quality antibody developed for reliable detection and analysis of target proteins. This antibody, generated in rabbits, exhibits high reactivity with human samples and has been validated for use in Western blot applications.CCAR2/DBC1 is a key regulator of gene expression and cell survival, making it a target of interest in studies related to cancer research, aging, and various genetic disorders. By binding to the CCAR2/DBC1 protein, this antibody allows for detection and analysis in a variety of cell types, providing valuable insights into its function and potential therapeutic applications.
This antibody is validated for use in WB, IHC-P, ELISA applications and has demonstrated reactivity against Human, Mouse, Rat samples.
Product Name:
CCAR2/DBC1 Polyclonal Antibody
SKU:
CAB24534
Size:
20μL, 100μL
Reactivity:
Human, Mouse, Rat
Conjugate:
Unconjugated
Immunogen:
Recombinant protein (or fragment).This information is considered to be commercially sensitive.
Enables RNA polymerase II complex binding activity and enzyme inhibitor activity. Involved in several processes, including regulation of cellular protein metabolic process; regulation of signal transduction; and regulation of transcription, DNA-templated. Located in several cellular components, including mitochondrial matrix; nucleoplasm; and spindle. Part of DBIRD complex.
Purification Method
Affinity purification
Gene ID
57805
Buffer Information
Store at -20℃. Avoid freeze / thaw cycles. Buffer: PBS containing 50% glycerol, preserved with proclin300 or sodium azide, pH 7.3.
Western blot analysis of lysates from 293F cells, using CCAR2/DBC1 Rabbit pAb (CAB24534) at 1:2000 dilution. Secondary antibody: HRP-conjugated Goat anti-Rabbit IgG (H+L) (CABS014) at 1:10000 dilution. Lysates/proteins: 25μg per lane. Blocking buffer: 3% nonfat dry milk in TBST. Detection: ECL Basic Kit (AbGn00020). Exposure time: 90s.
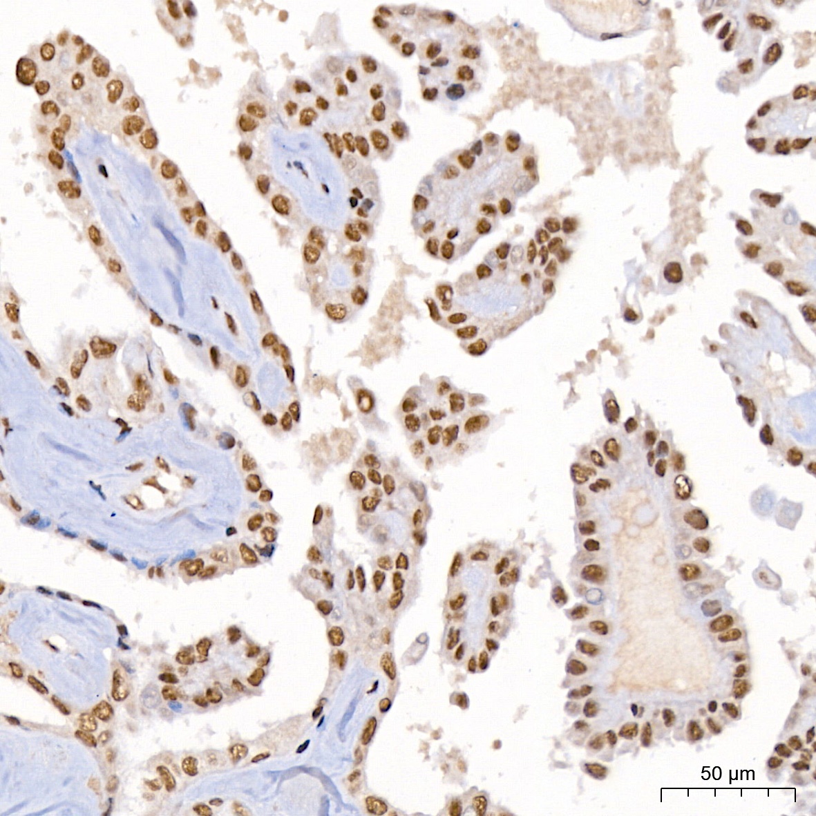
Immunohistochemistry analysis of paraffin-embedded Human thyroid tissue using CCAR2/DBC1 Rabbit pAb (CAB24534) at a dilution of 1:200 (40x lens). High pressure antigen retrieval was performed with 0.01 M citrate buffer (pH 6.0) prior to IHC staining.
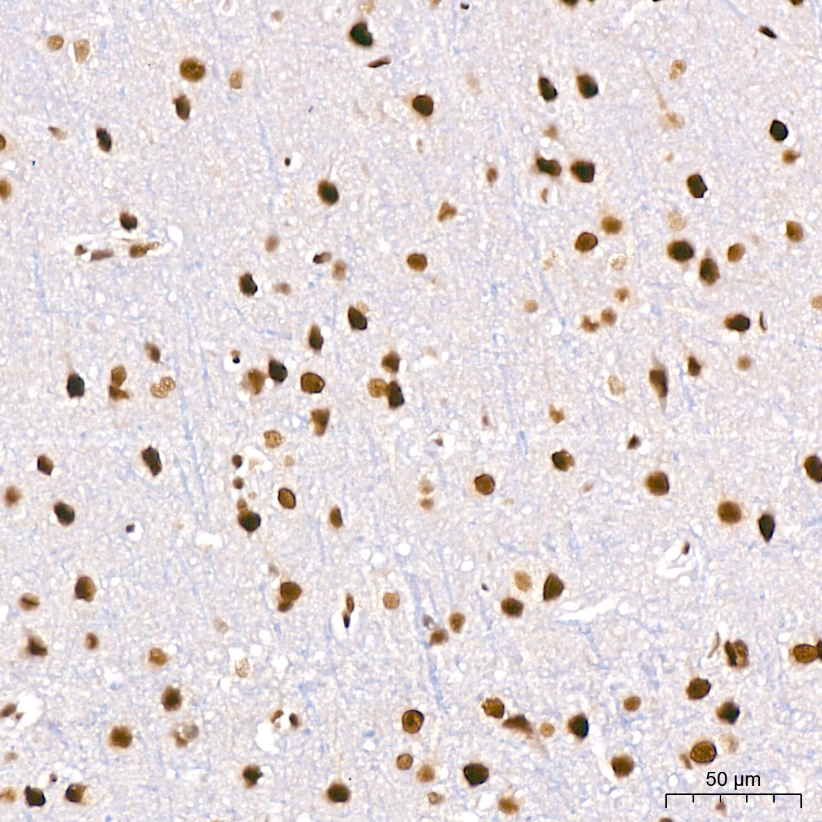
Immunohistochemistry analysis of paraffin-embedded Rat brain tissue using CCAR2/DBC1 Rabbit pAb (CAB24534) at a dilution of 1:200 (40x lens). High pressure antigen retrieval was performed with 0.01 M citrate buffer (pH 6.0) prior to IHC staining.
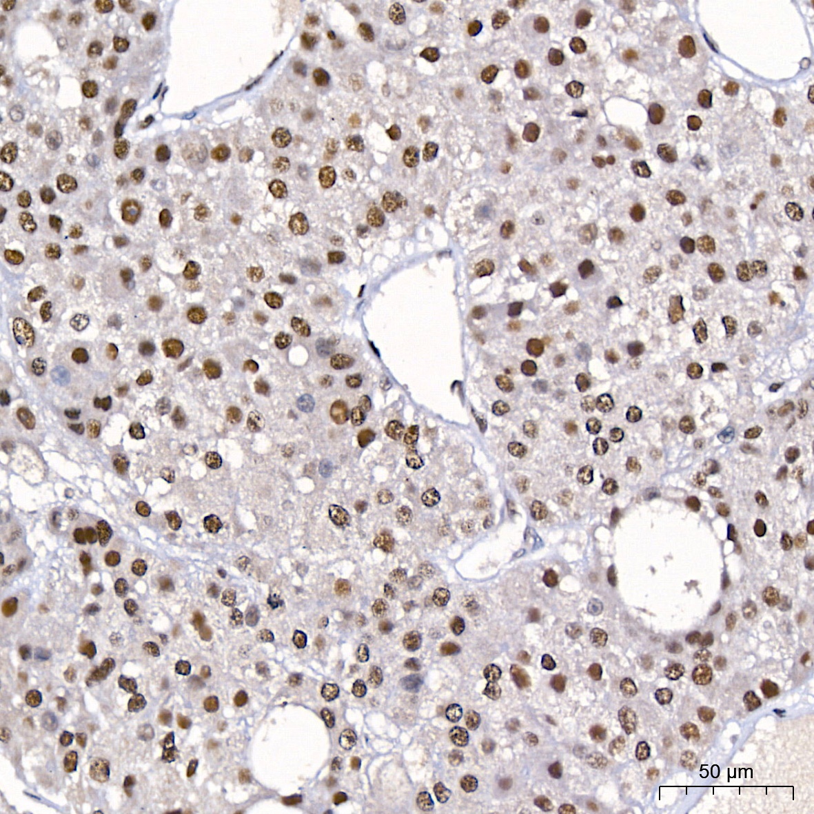
Immunohistochemistry analysis of paraffin-embedded Human liver cancer tissue using CCAR2/DBC1 Rabbit pAb (CAB24534) at a dilution of 1:200 (40x lens). High pressure antigen retrieval was performed with 0.01 M citrate buffer (pH 6.0) prior to IHC staining.