The CCAR2 Antibody (CAB7126) is a high-quality antibody developed for reliable detection and analysis of target proteins. This antibody, produced in rabbits, is highly specific for human samples and has been validated for use in Western blot applications. By binding to the CCAR2 protein, this antibody allows for accurate detection and analysis in a variety of cell types, making it an essential tool for studies in cancer biology and DNA repair mechanisms.
This antibody is validated for use in WB, IHC-P, ELISA applications and has demonstrated reactivity against Human, Mouse, Rat samples.
Product Name:
CCAR2 Antibody
SKU:
CAB7126
Size:
20μL, 100μL
Reactivity:
Human, Mouse, Rat
Conjugate:
Unconjugated
Immunogen:
Recombinant protein (or fragment).This information is considered to be commercially sensitive.
Enables RNA polymerase II complex binding activity and enzyme inhibitor activity. Involved in several processes, including regulation of cellular protein metabolic process; regulation of signal transduction; and regulation of transcription, DNA-templated. Located in several cellular components, including mitochondrial matrix; nucleoplasm; and spindle. Part of DBIRD complex.
Purification Method
Affinity purification
Gene ID
57805
RRID
AB_2767681
Buffer Information
Store at -20℃. Avoid freeze / thaw cycles. Buffer: PBS containing 50% glycerol, preserved with proclin300 or sodium azide, pH 7.3.
Western blot analysis of various lysates using CCAR2 Rabbit pAb (CAB7126) at 1:1000 dilution. Secondary antibody: HRP-conjugated Goat anti-Rabbit IgG (H+L) (CABS014) at 1:10000 dilution. Lysates/proteins: 25μg per lane. Blocking buffer: 3% nonfat dry milk in TBST. Detection: ECL Basic Kit (AbGn00020). Exposure time: 30s.
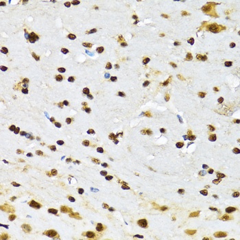
Immunohistochemistry analysis of paraffin-embedded Rat brain using CCAR2 Rabbit pAb (CAB7126) at dilution of 1:100 (40x lens). Microwave antigen retrieval performed with 0.01M PBS Buffer (pH 7.2) prior to IHC staining.
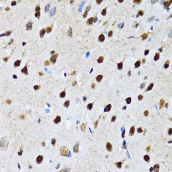
Immunohistochemistry analysis of paraffin-embedded Mouse brain using CCAR2 Rabbit pAb (CAB7126) at dilution of 1:100 (40x lens). Microwave antigen retrieval performed with 0.01M PBS Buffer (pH 7.2) prior to IHC staining.