The CCDC124 Antibody (CAB14436) is a high-quality antibody developed for reliable detection and analysis of target proteins. This antibody, produced in rabbits, exhibits high reactivity with human samples and is validated for use in various experimental applications, including Western blotting.CCDC124, also known as coiled-coil domain-containing protein 124, is a crucial player in maintaining genomic stability and preventing the accumulation of mutations that can lead to cancer and other diseases. By targeting CCDC124, researchers can investigate its role in DNA damage response pathways and its potential as a therapeutic target in cancer treatment.
This antibody is validated for use in WB, IHC-P, ELISA applications and has demonstrated reactivity against Human, Mouse, Rat samples.
Product Name:
CCDC124 Antibody
SKU:
CAB14436
Size:
20μL, 100μL
Reactivity:
Human, Mouse, Rat
Conjugate:
Unconjugated
Immunogen:
Recombinant protein (or fragment).This information is considered to be commercially sensitive.
Enables RNA binding activity. Predicted to be involved in cell division. Located in cytosol and plasma membrane.
Purification Method
Affinity purification
Gene ID
115098
RRID
AB_2761306
Buffer Information
Store at -20℃. Avoid freeze / thaw cycles. Buffer: PBS with 0.01% thimerosal,50% glycerol,pH7.3.
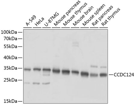
Western blot analysis of various lysates using CCDC124 Rabbit pAb (CAB14436) at 1:1000 dilution. Secondary antibody: HRP-conjugated Goat anti-Rabbit IgG (H+L) (CABS014) at 1:10000 dilution. Lysates/proteins: 25μg per lane. Blocking buffer: 3% nonfat dry milk in TBST. Detection: ECL Basic Kit (AbGn00020). Exposure time: 1s.
Immunohistochemistry analysis of paraffin-embedded Mouse testis using CCDC124 Rabbit pAb (CAB14436) at dilution of 1:100 (40x lens). Microwave antigen retrieval performed with 0.01M PBS Buffer (pH 7.2) prior to IHC staining.
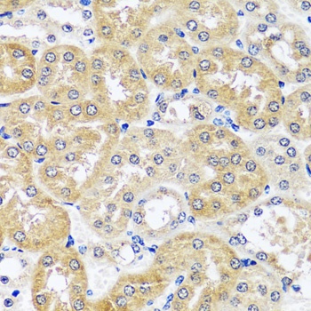
Immunohistochemistry analysis of paraffin-embedded Mouse kidney using CCDC124 Rabbit pAb (CAB14436) at dilution of 1:100 (40x lens). Microwave antigen retrieval performed with 0.01M PBS Buffer (pH 7.2) prior to IHC staining.