The CCL8/MCP-2 Polyclonal Antibody (CAB24871) is a high-quality antibody developed for reliable detection and analysis of target proteins. This antibody, produced in rabbits, exhibits high specificity and sensitivity for detecting CCL8 in human samples, making it an ideal choice for use in Western blot applications. By binding to CCL8, this antibody enables the accurate detection and analysis of this important chemokine in various cell types, offering insights into its role in immunology and disease.CCL8, also known as Monocyte Chemoattractant Protein-2 (MCP-2), plays a crucial role in recruiting monocytes and other immune cells to sites of inflammation, contributing to the regulation of immune responses.
This antibody is validated for use in WB applications and has demonstrated reactivity against Human samples.
Product Name:
CCL8/MCP-2 Polyclonal Antibody
SKU:
CAB24871
Size:
20μL, 100μL
Reactivity:
Human
Conjugate:
Unconjugated
Immunogen:
Recombinant protein (or fragment).This information is considered to be commercially sensitive.
This antimicrobial gene is one of several chemokine genes clustered on the q-arm of chromosome 17. Chemokines form a superfamily of secreted proteins involved in immunoregulatory and inflammatory processes. The superfamily is divided into four subfamilies based on the arrangement of N-terminal cysteine residues of the mature peptide. This chemokine is a member of the CC subfamily which is characterized by two adjacent cysteine residues. This cytokine displays chemotactic activity for monocytes, lymphocytes, basophils and eosinophils. By recruiting leukocytes to sites of inflammation this cytokine may contribute to tumor-associated leukocyte infiltration and to the antiviral state against HIV infection.
Purification Method
Affinity purification
Gene ID
6355
Buffer Information
Store at -20℃. Avoid freeze / thaw cycles. Buffer: PBS containing 50% glycerol, preserved with proclin300 or sodium azide, pH 7.3.
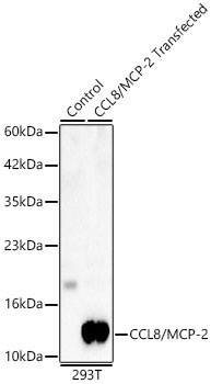
Western blot analysis of lysates from wild type (WT) and 293T cells transfected with CCL8/MCP-2 using CCL8/MCP-2 Rabbit pAb (CAB24871) at 1:1000 dilution. Secondary antibody: HRP-conjugated Goat anti-Rabbit IgG (H+L) (CABS014) at 1:10000 dilution. Lysates/proteins: 25 μg per lane. Blocking buffer: 3% nonfat dry milk in TBST. Detection: ECL Basic Kit (AbGn00020). Exposure time: 180s.