The Cyclin E2 Antibody (CAB4272) is a high-quality antibody developed for reliable detection and analysis of target proteins. This antibody, generated in rabbits, exhibits high reactivity with human samples and has been validated for use in Western blot applications. By targeting the CCNE2 protein, this antibody allows for accurate detection and analysis in a variety of cell types, making it an essential tool for studies in cancer biology and molecular genetics.CCNE2, also known as cyclin E2, is a critical regulator of the cell cycle, promoting cell proliferation and progression through various stages.
This antibody is validated for use in WB, IHC-P, ELISA applications and has demonstrated reactivity against Human, Mouse, Rat samples.
Product Name:
Cyclin E2 Antibody
SKU:
CAB4272
Size:
20μL, 100μL
Reactivity:
Human, Mouse, Rat
Conjugate:
Unconjugated
Immunogen:
Synthetic peptide. This information is considered to be commercially sensitive.
Recommended starting concentration is 1 μg/mL. Please optimize the concentration based on your specific assay requirements.
Synonyms:
CYCE2, Cyclin E2
Positive Sample:
Mouse brain, Rat brain
Cellular Localization:
Nucleus.
Calculated MW:
47kDa
Observed MW:
47kDa
The protein encoded by this gene belongs to the highly conserved cyclin family, whose members are characterized by a dramatic periodicity in protein abundance through the cell cycle. Cyclins function as regulators of CDK kinases. Different cyclins exhibit distinct expression and degradation patterns which contribute to the temporal coordination of each mitotic event. This cyclin forms a complex with and functions as a regulatory subunit of CDK2. This cyclin has been shown to specifically interact with CIP/KIP family of CDK inhibitors, and plays a role in cell cycle G1/S transition. The expression of this gene peaks at the G1-S phase and exhibits a pattern of tissue specificity distinct from that of cyclin E1. A significantly increased expression level of this gene was observed in tumor-derived cells.
Purification Method
Affinity purification
Gene ID
9134
RRID
AB_2765599
Buffer Information
Store at -20℃. Avoid freeze / thaw cycles. Buffer: PBS with 0.09% Sodium azide,50% glycerol,pH7.3.
Western blot analysis of various lysates using Cyclin E2 Rabbit pAb (CAB4272) at 1:3000 dilution. Secondary antibody: HRP-conjugated Goat anti-Rabbit IgG (H+L) (CABS014) at 1:10000 dilution. Lysates/proteins: 25μg per lane. Blocking buffer: 3% nonfat dry milk in TBST. Detection: ECL Enhanced Kit (AbGn00021). Exposure time: 90s.
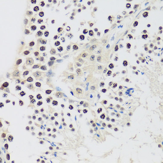
Immunohistochemistry analysis of paraffin-embedded Rat testis using Cyclin E2 Rabbit pAb (CAB4272) at dilution of 1:100 (40x lens). Microwave antigen retrieval performed with 0.01M PBS Buffer (pH 7.2) prior to IHC staining.
Immunohistochemistry analysis of paraffin-embedded Mouse testis using Cyclin E2 Rabbit pAb (CAB4272) at dilution of 1:100 (40x lens). Microwave antigen retrieval performed with 0.01M PBS Buffer (pH 7.2) prior to IHC staining.