The CCT5 Antibody (CAB6549) is a high-quality antibody developed for reliable detection and analysis of target proteins. This antibody, produced in rabbits, exhibits high reactivity with human samples and has been validated for Western blot applications.The CCT5 antibody specifically binds to the CCT5 protein, allowing for accurate detection and analysis in a variety of cell types. Its use is ideal for investigations in the fields of molecular biology and biochemistry, where understanding protein folding mechanisms is crucial for advancing research on diseases related to misfolded proteins, such as neurodegenerative disorders.
This antibody is validated for use in WB, ELISA applications and has demonstrated reactivity against Human, Mouse, Rat samples.
Product Name:
CCT5 Antibody
SKU:
CAB6549
Size:
20μL, 100μL
Reactivity:
Human, Mouse, Rat
Conjugate:
Unconjugated
Immunogen:
Recombinant protein (or fragment).This information is considered to be commercially sensitive.
The protein encoded by this gene is a molecular chaperone that is a member of the chaperonin containing TCP1 complex (CCT), also known as the TCP1 ring complex (TRiC). This complex consists of two identical stacked rings, each containing eight different proteins. Unfolded polypeptides enter the central cavity of the complex and are folded in an ATP-dependent manner. The complex folds various proteins, including actin and tubulin. Mutations in this gene cause hereditary sensory and autonomic neuropathy with spastic paraplegia (HSNSP). Alternative splicing results in multiple transcript variants. Related pseudogenes have been identified on chromosomes 5 and 13.
Purification Method
Affinity purification
Gene ID
22948
RRID
AB_2767143
Buffer Information
Store at -20℃. Avoid freeze / thaw cycles. Buffer: PBS containing 50% glycerol, preserved with proclin300 or sodium azide, pH 7.3.
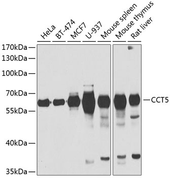
Western blot analysis of various lysates using CCT5 Rabbit pAb (CAB6549) at 1:1000 dilution. Secondary antibody: HRP-conjugated Goat anti-Rabbit IgG (H+L) (CABS014) at 1:10000 dilution. Lysates/proteins: 25μg per lane. Blocking buffer: 3% nonfat dry milk in TBST. Detection: ECL Basic Kit (AbGn00020). Exposure time: 30s.