The CD147 Rabbit Monoclonal Antibody (CAB4310) is a powerful tool for researchers studying CD147, a cell surface glycoprotein known to play a key role in various physiological and pathological processes. This antibody, created using rabbit monoclonal technology, shows high specificity and sensitivity in binding to CD147 in human samples, making it an excellent choice for immunohistochemistry and Western blotting applications.CD147, also known as extracellular matrix metalloproteinase inducer (EMMPRIN), is involved in cell adhesion, migration, and proliferation, making it a promising target for cancer research, as well as studies on inflammation, immune response, and viral infections.
The CD147 Rabbit Monoclonal Antibody allows for precise detection and analysis of CD147 expression in different cell types, providing valuable insights into its function in various biological processes.By using the CD147 Rabbit Monoclonal Antibody, researchers can further unravel the complex mechanisms involving CD147 and its interactions with other molecules, paving the way for potential therapeutic interventions targeting CD147-related pathways in diseases such as cancer, inflammatory disorders, and viral infections. Stay ahead in your research with this reliable and efficient antibody designed to accelerate your studies in immunology, oncology, and beyond.
Product Name:
CD147/BSG Rabbit Monoclonal Antibody
SKU:
CAB4310
Size:
20uL, 100uL
Isotype:
IgG
Host Species:
Rabbit
Reactivity:
Human,Mouse
Immunogen:
A synthetic peptide corresponding to a sequence within amino acids 100-200 of human CD147/BSG (P35613).
Cell membrane, Melanosome, Single-pass type I membrane protein
Calculated MW:
19kDa/22kDa/29kDa/42kDa
Observed MW:
40-60kDa
The protein encoded by this gene, basigin, is a plasma membrane protein that is important in spermatogenesis, embryo implantation, neural network formation, and tumor progression. Basigin is also a member of the immunoglobulin superfamily, ubiquitously expressed in various tissues. Multiple transcript variants encoding different isoforms have been found for this gene.
Purification Method:
Affinity purification
Gene ID:
682
Clone Number:
ARC0964
Storage Buffer:
Store at -20℃. Avoid freeze / thaw cycles.Buffer: PBS with 0.02% sodium azide,0.05% BSA,50% glycerol,pH7.3.
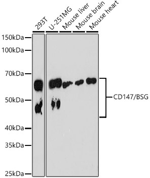
Western blot analysis of various lysates, using CD147/BSG antibody (CAB4310) at 1:1000 dilution.Secondary antibody: HRP Goat Anti-Rabbit IgG (H+L) (CABS014) at 1:10000 dilution.Lysates/proteins: 25μg per lane.Blocking buffer: 3% nonfat dry milk in TBST.Detection: ECL Basic Kit (AbGn00020).Exposure time: 180s.