The CD207 Polyclonal Antibody (CAB6553) is a specialized tool for researchers studying CD207, a cell surface receptor involved in immune responses and antigen presentation. Raised in rabbits, this antibody is highly specific for human samples and has been validated for use in Western blot applications. Its binding ability to CD207 allows for accurate detection and analysis in a variety of cell types, making it ideal for immunology and cancer research studies.CD207, also known as Langerin, is a marker for Langerhans cells in the skin and has been linked to immune regulation and tolerance.
Its role in antigen processing and presentation makes it a valuable target for understanding immune responses and potential therapeutic interventions in autoimmune diseases and cancer. By investigating the function of CD207, researchers can gain insights into immune regulation mechanisms and potentially develop targeted treatments for related conditions.
Product Name:
CD207 Rabbit Polyclonal Antibody
SKU:
CAB6553
Size:
20uL, 100uL
Isotype:
IgG
Host Species:
Rabbit
Reactivity:
Human,Mouse,Rat
Immunogen:
Recombinant fusion protein containing a sequence corresponding to amino acids 70-200 of human Langerin/CD207 (NP_056532.4).
The protein encoded by this gene is expressed only in Langerhans cells which are immature dendritic cells of the epidermis and mucosa. It is localized in the Birbeck granules, organelles present in the cytoplasm of Langerhans cells and consisting of superimposed and zippered membranes. It is a C-type lectin with mannose binding specificity, and it has been proposed that mannose binding by this protein leads to internalization of antigen into Birbeck granules and providing access to a nonclassical antigen-processing pathway. Mutations in this gene result in Birbeck granules deficiency or loss of sugar binding activity.
Purification Method:
Affinity purification
Gene ID:
50489
Storage Buffer:
Store at -20℃. Avoid freeze / thaw cycles.Buffer: PBS with 0.02% sodium azide,50% glycerol,pH7.3.
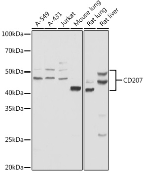
Western blot analysis of extracts of various cell lines, using Langerin/CD207 antibody (CAB6553) at 1:1000 dilution.Secondary antibody: HRP Goat Anti-Rabbit IgG (H+L) (CABS014) at 1:10000 dilution.Lysates/proteins: 25μg per lane.Blocking buffer: 3% nonfat dry milk in TBST.Detection: ECL Basic Kit (AbGn00020).Exposure time: 90s.