The CD74 Antibody (CAB5667) is a high-quality antibody developed for reliable detection and analysis of target proteins. The protein encoded by this gene associates with class II major histocompatibility complex (MHC) and is an important chaperone that regulates antigen presentation for immune response. It also serves as cell surface receptor for the cytokine macrophage migration inhibitory factor (MIF) which, when bound to the encoded protein, initiates survival pathways and cell proliferation. This protein also interacts with amyloid precursor protein (APP) and suppresses the production of amyloid beta (Abeta). Multiple alternatively spliced transcript variants encoding different isoforms have been identified. RRID AB_2766427 Gene ID 972 Swiss Prot Synonym II; p33; CLIP; DHLAG; HLADG; Ia-GAMMA; CD74
This antibody is validated for use in WB, IHC-P, IF/ICC, ELISA applications and has demonstrated reactivity against Human, Rat samples.
Product Name:
CD74 Antibody
SKU:
CAB5667
Size:
100μL, 20μL
Reactivity:
Human, Rat
Clone Number:
-
Conjugate:
Unconjugated
Immunogen:
Recombinant protein (or fragment).This information is considered to be commercially sensitive.
Tested Applications:
WBIHC-PIF/ICCELISA
Recommended Dilution:
WB
1:400 - 1:5000
IF
/
ICC
1:50 - 1:200
IHC-P
1:50 - 1:200
ELISA
Recommended starting concentration is 1 μg/mL. Please optimize the concentration based on your specific assay requirements.
Synonyms:
II, p33, CLIP, DHLAG, HLADG, Ia-GAMMA, CD74
Positive Sample:
Daudi
Cellular Localization:
Cell Membrane, Endoplasmic Reticulum Membrane, Endosome, Golgi Apparatus, Lysosome, Single-Pass Type Ii Membrane Protein, Trans-Golgi Network.
Calculated MW:
34 kDa
Observed MW:
30-40 kDa
The protein encoded by this gene associates with class II major histocompatibility complex (MHC) and is an important chaperone that regulates antigen presentation for immune response. It also serves as cell surface receptor for the cytokine macrophage migration inhibitory factor (MIF) which, when bound to the encoded protein, initiates survival pathways and cell proliferation. This protein also interacts with amyloid precursor protein (APP) and suppresses the production of amyloid beta (Abeta). Multiple alternatively spliced transcript variants encoding different isoforms have been identified. RRID AB_2766427 Gene ID 972 Swiss Prot Synonym II; p33; CLIP; DHLAG; HLADG; Ia-GAMMA; CD74
Purification Method:
Affinity purification
Gene ID:
972
RRID:
AB_2766427
Buffer Information:
Store at -20℃. Avoid freeze / thaw cycles. Buffer: PBS containing 50% glycerol, preserved with proclin300 or sodium azide, pH 7.3.
Western blot analysis of lysates from Daudi cells, using CD74 Rabbit pAb (CAB5667) at 1:400 dilution. Secondary antibody: HRP-conjugated Goat anti-Rabbit IgG (H+L) (AS014) at 1:10000 dilution. Lysates/proteins: 25μg per lane. Blocking buffer: 3% nonfat dry milk in TBST. Detection: ECL Basic Kit (AbGn00020). Exposure time: 20s.
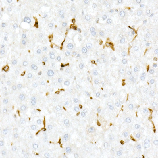
Immunohistochemistry analysis of paraffin-embedded Human liver using CD74 Rabbit pAb (CAB5667) at dilution of 1:20 (40x lens). High pressure antigen retrieval performed with 0.01M Tris/EDTA Buffer (pH 9.0) prior to IHC staining.
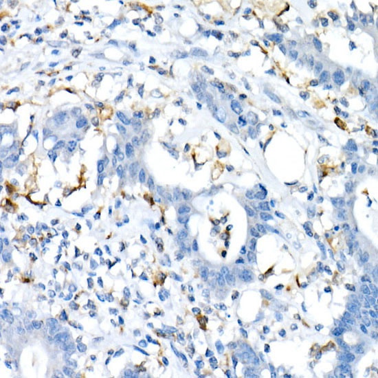
Immunohistochemistry analysis of paraffin-embedded Human colon carcinoma using CD74 Rabbit pAb (CAB5667) at dilution of 1:20 (40x lens). High pressure antigen retrieval performed with 0.01M Tris/EDTA Buffer (pH 9.0) prior to IHC staining.
Immunofluorescence analysis of C6 cells using CD74 Rabbit pAb (CAB5667) at dilution of 1:100. Secondary antibody: Cy3-conjugated Goat anti-Rabbit IgG (H+L) (AS007) at 1:500 dilution. Blue: DAPI for nuclear staining.