The CDC16 Antibody (CAB7197) is a high-quality antibody developed for reliable detection and analysis of target proteins. The protein encoded by this gene functions as a protein ubiquitin ligase and is a component of the multiprotein APC complex. The APC complex is a cyclin degradation system that governs exit from mitosis by targeting cell cycle proteins for degredation by the 26S proteasome. Each component protein of the APC complex is highly conserved among eukaryotic organisms. This protein, and other APC complex proteins, contain a tetratricopeptide repeat (TPR) domain; a protein domain that is often involved in protein-protein interactions and the assembly of multiprotein complexes. Multiple alternatively spliced transcript variants, encoding distinct proteins, have been identified.
This antibody is validated for use in WB, IHC-P, ELISA applications and has demonstrated reactivity against Human, Mouse, Rat samples.
Product Name:
CDC16 Antibody
SKU:
CAB7197
Size:
100μL, 20μL
Reactivity:
Human, Mouse, Rat
Conjugate:
Unconjugated
Immunogen:
Recombinant protein (or fragment).This information is considered to be commercially sensitive.
Tested Applications:
WBIHC-PELISA
Recommended Dilution:
WB
1:500 - 1:2000
IHC-P
1:50 - 1:200
ELISA
Recommended starting concentration is 1 μg/mL. Please optimize the concentration based on your specific assay requirements.
Synonyms:
APC6, CUT9, ANAPC6, CDC16Hs, CDC16
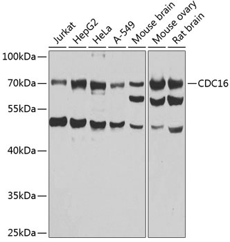
Positive Sample:
Jurkat, HepG2, HeLa, A-549, Mouse brain, Mouse ovary, Rat brain
Cellular Localization:
Cytoplasm, Centrosome, Cytoskeleton, Microtubule Organizing Center, Spindle.
Calculated MW:
72kDa
Observed MW:
72kDa
The protein encoded by this gene functions as a protein ubiquitin ligase and is a component of the multiprotein APC complex. The APC complex is a cyclin degradation system that governs exit from mitosis by targeting cell cycle proteins for degredation by the 26S proteasome. Each component protein of the APC complex is highly conserved among eukaryotic organisms. This protein, and other APC complex proteins, contain a tetratricopeptide repeat (TPR) domain; a protein domain that is often involved in protein-protein interactions and the assembly of multiprotein complexes. Multiple alternatively spliced transcript variants, encoding distinct proteins, have been identified.
Purification Method
Affinity purification
Gene ID
8881
RRID
AB_2767747
Buffer Information
Store at -20℃. Avoid freeze / thaw cycles. Buffer: PBS containing 50% glycerol, preserved with proclin300 or sodium azide, pH 7.3.
Western blot analysis of various lysates using CDC16 Rabbit pAb (CAB7197) at 1:1000 dilution. Secondary antibody: HRP-conjugated Goat anti-Rabbit IgG (H+L) (AS014) at 1:10000 dilution. Lysates/proteins: 25μg per lane. Blocking buffer: 3% nonfat dry milk in TBST. Detection: ECL Basic Kit (AbGn00020). Exposure time: 10s.
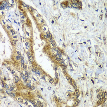
Immunohistochemistry analysis of paraffin-embedded Human liver cancer using CDC16 Rabbit pAb (CAB7197) at dilution of 1:100 (40x lens). Microwave antigen retrieval performed with 0.01M PBS Buffer (pH 7.2) prior to IHC staining.