The CDC23 Antibody (CAB15116) is a high-quality antibody developed for reliable detection and analysis of target proteins. This rabbit-derived antibody is highly specific to human samples and has been validated for use in Western blot applications. By targeting the CDC23 protein, researchers can detect and analyze its expression in various cell types, aiding in studies related to cell division, proliferation, and cancer research.
This antibody is validated for use in WB, IHC-P, ELISA applications and has demonstrated reactivity against Human, Mouse, Rat samples.
Product Name:
CDC23 Antibody
SKU:
CAB15116
Size:
20μL, 100μL
Reactivity:
Human, Mouse, Rat
Conjugate:
Unconjugated
Immunogen:
Synthetic peptide. This information is considered to be commercially sensitive.
The protein encoded by this gene shares strong similarity with Saccharomyces cerevisiae Cdc23, a protein essential for cell cycle progression through the G2/M transition. This protein is a component of anaphase-promoting complex (APC), which is composed of eight protein subunits and highly conserved in eukaryotic cells. APC catalyzes the formation of cyclin B-ubiquitin conjugate that is responsible for the ubiquitin-mediated proteolysis of B-type cyclins. This protein and 3 other members of the APC complex contain the TPR (tetratricopeptide repeat), a protein domain important for protein-protein interaction.
Purification Method
Affinity purification
Gene ID
8697
RRID
AB_2762001
Buffer Information
Store at -20℃. Avoid freeze / thaw cycles. Buffer: PBS with 0.01% thimerosal,50% glycerol,pH7.3.
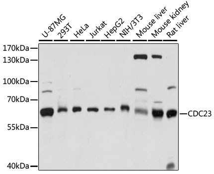
Western blot analysis of various lysates using CDC23 Rabbit pAb (CAB15116) at 1:1000 dilution. Secondary antibody: HRP-conjugated Goat anti-Rabbit IgG (H+L) (CABS014) at 1:10000 dilution. Lysates/proteins: 25μg per lane. Blocking buffer: 3% nonfat dry milk in TBST. Detection: ECL Basic Kit (AbGn00020). Exposure time: 10s.
Immunohistochemistry analysis of paraffin-embedded Rat spleen using CDC23 Rabbit pAb (CAB15116) at dilution of 1:100 (40x lens). Microwave antigen retrieval performed with 0.01M PBS Buffer (pH 7.2) prior to IHC staining.
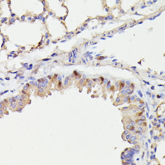
Immunohistochemistry analysis of paraffin-embedded Mouse lung using CDC23 Rabbit pAb (CAB15116) at dilution of 1:100 (40x lens). Microwave antigen retrieval performed with 0.01M PBS Buffer (pH 7.2) prior to IHC staining.