The CDC45 Antibody (CAB2047) is a high-quality antibody developed for reliable detection and analysis of target proteins. This antibody, produced in rabbits, demonstrates high reactivity with human samples and has been validated for use in Western blot applications. By binding specifically to the CDC45 protein, this antibody enables accurate detection and analysis in a variety of cell types, making it ideal for studies in molecular biology and cancer research.
This antibody is validated for use in WB, ELISA applications and has demonstrated reactivity against Human, Mouse, Rat samples.
Product Name:
CDC45 Antibody
SKU:
CAB2047
Size:
20μL, 100μL
Reactivity:
Human, Mouse, Rat
Conjugate:
Unconjugated
Immunogen:
Recombinant protein (or fragment).This information is considered to be commercially sensitive.
Recommended starting concentration is 1 μg/mL. Please optimize the concentration based on your specific assay requirements.
Synonyms:
CDC45L, MGORS7, CDC45L2, PORC-PI-1, CDC45
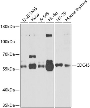
Positive Sample:
U-251MG, HeLa, A-549, HL-60, HT-29, Mouse thymus
Cellular Localization:
Cytoplasm, Nucleus.
Calculated MW:
66kDa
Observed MW:
60kDa
The protein encoded by this gene was identified by its strong similarity with Saccharomyces cerevisiae Cdc45, an essential protein required to the initiation of DNA replication. Cdc45 is a member of the highly conserved multiprotein complex including Cdc6/Cdc18, the minichromosome maintenance proteins (MCMs) and DNA polymerase, which is important for early steps of DNA replication in eukaryotes. This protein has been shown to interact with MCM7 and DNA polymerase alpha. Studies of the similar gene in Xenopus suggested that this protein play a pivotal role in the loading of DNA polymerase alpha onto chromatin. Alternate splicing results in multiple transcript variants.
Purification Method
Affinity purification
Gene ID
8318
RRID
AB_2764071
Buffer Information
Store at -20℃. Avoid freeze / thaw cycles. Buffer: PBS containing 50% glycerol, preserved with proclin300 or sodium azide, pH 7.3.
Western blot analysis of various lysates using CDC45 Rabbit pAb (CAB2047) at 1:1000 dilution. Secondary antibody: HRP-conjugated Goat anti-Rabbit IgG (H+L) (CABS014) at 1:10000 dilution. Lysates/proteins: 25μg per lane. Blocking buffer: 3% nonfat dry milk in TBST. Detection: ECL Basic Kit (AbGn00020). Exposure time: 15s.