The CDK12 Monoclonal Antibody (CAB22474) is a high-quality antibody developed for reliable detection and analysis of target proteins. This antibody, produced using advanced monoclonal technology, is highly specific to CDK12 and exhibits minimal cross-reactivity with other proteins.CDK12 is known to play a key role in regulating gene expression and maintaining genomic integrity, making it a significant target for cancer research. Dysregulation of CDK12 has been linked to various types of cancer, underscoring the importance of studying its function and activity.With its high sensitivity and specificity, the CDK12 Monoclonal Antibody is ideal for applications such as Western blot and immunohistochemistry.
This antibody is validated for use in IHC-P, ELISA applications and has demonstrated reactivity against Human, Mouse, Rat samples.
Product Name:
CDK12 Monoclonal Antibody
SKU:
CAB22474
Size:
20μL, 100μL
Reactivity:
Human, Mouse, Rat
Clone Number:
ARC53277
Conjugate:
Unconjugated
Immunogen:
Recombinant protein (or fragment).This information is considered to be commercially sensitive.
Recommended starting concentration is 1 μg/mL. Please optimize the concentration based on your specific assay requirements.
Synonyms:
CRK7, CRKR, CRKRS, CDK12
Cellular Localization:
Nucleus, Nucleus Speckle.
Calculated MW:
164kDa
Observed MW:
Refertofigures
Enables RNA polymerase II CTD heptapeptide repeat kinase activity and cyclin binding activity. Involved in phosphorylation of RNA polymerase II C-terminal domain; protein autophosphorylation; and regulation of MAP kinase activity. Located in nuclear speck. Part of cyclin K-CDK12 complex.
Purification Method
Affinity purification
Gene ID
51755
Buffer Information
Store at -20℃. Avoid freeze / thaw cycles. Buffer: PBS containing 50% glycerol and 0.05% BSA, preserved with proclin300 or sodium azide, pH 7.3.
Immunohistochemistry analysis of paraffin-embedded Human heart using CDK12 Rabbit mAb (CAB22474) at dilution of 1:500 (40x lens). High pressure antigen retrieval performed with 0.01M Citrate buffer (pH 6.0) prior to IHC staining.
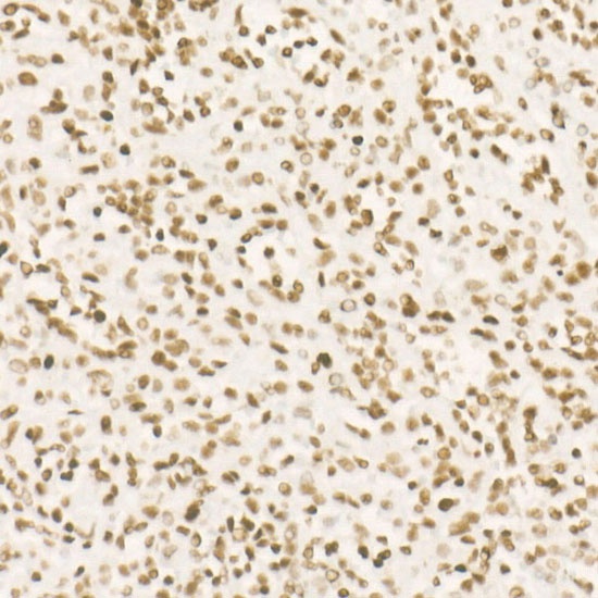
Immunohistochemistry analysis of paraffin-embedded Human spleen using CDK12 Rabbit mAb (CAB22474) at dilution of 1:500 (40x lens). High pressure antigen retrieval performed with 0.01M Citrate buffer (pH 6.0) prior to IHC staining.
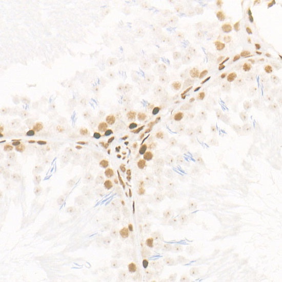
Immunohistochemistry analysis of paraffin-embedded Rat testis using CDK12 Rabbit mAb (CAB22474) at dilution of 1:500 (40x lens). High pressure antigen retrieval performed with 0.01M Citrate buffer (pH 6.0) prior to IHC staining.