The CDK5RAP3 Antibody (CAB5000) is a high-quality antibody developed for reliable detection and analysis of target proteins. This antibody, produced in rabbits, exhibits high specificity in detecting CDK5RAP3 in human samples and is validated for use in Western blot applications. By binding to CDK5RAP3, this antibody allows for accurate detection and analysis of the protein in a variety of cell types, making it an essential component for studies in cell biology and cancer research.CDK5RAP3, also known as C53, plays a critical role in cell division and DNA damage response pathways, making it a potential target for cancer therapy and understanding the mechanisms of tumorigenesis.
This antibody is validated for use in WB, IF/ICC, ELISA applications and has demonstrated reactivity against Human, Mouse, Rat samples.
Product Name:
CDK5RAP3 Antibody
SKU:
CAB5000
Size:
20μL, 100μL
Reactivity:
Human, Mouse, Rat
Conjugate:
Unconjugated
Immunogen:
Recombinant protein (or fragment).This information is considered to be commercially sensitive.
This gene encodes a protein that has been reported to function in signaling pathways governing transcriptional regulation and cell cycle progression. It may play a role in tumorigenesis and metastasis. A pseudogene of this gene is located on the long arm of chromosome 20. Alternative splicing results in multiple transcript variants that encode different isoforms.
Purification Method
Affinity purification
Gene ID
80279
RRID
AB_2765981
Buffer Information
Store at -20℃. Avoid freeze / thaw cycles. Buffer: PBS with 0.01% thimerosal,50% glycerol,pH7.3.
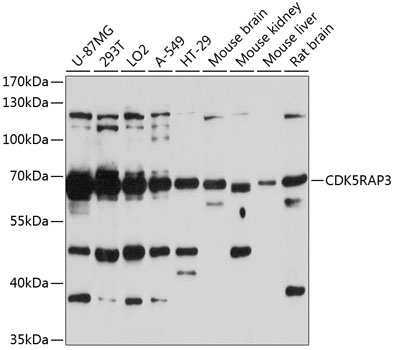
Western blot analysis of various lysates using CDK5RAP3 Rabbit pAb (CAB5000) at 1:3000 dilution. Secondary antibody: HRP-conjugated Goat anti-Rabbit IgG (H+L) (CABS014) at 1:10000 dilution. Lysates/proteins: 25μg per lane. Blocking buffer: 3% nonfat dry milk in TBST. Detection: ECL Enhanced Kit (AbGn00021). Exposure time: 90s.