The CES3 Antibody (CAB4558) is a high-quality antibody developed for reliable detection and analysis of target proteins. This antibody, produced in rabbits, has been shown to be highly specific for human samples, making it an ideal choice for Western blot applications. By binding to CES3, the antibody allows for accurate detection and analysis of the enzyme in various cell types.CES3 is known to play a crucial role in the metabolism of a wide range of drugs and lipids, making it an important target for drug development and personalized medicine approaches.
This antibody is validated for use in WB, ELISA applications and has demonstrated reactivity against Human, Mouse, Rat samples.
Product Name:
CES3 Antibody
SKU:
CAB4558
Size:
20μL, 100μL
Reactivity:
Human, Mouse, Rat
Conjugate:
Unconjugated
Immunogen:
Recombinant protein (or fragment).This information is considered to be commercially sensitive.
Recommended starting concentration is 1 μg/mL. Please optimize the concentration based on your specific assay requirements.
Synonyms:
ES31, CES3
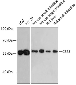
Positive Sample:
LO2, HT-29, Mouse small intestine, Mouse large intestine, Rat liver, Rat small intestine
Cellular Localization:
Endoplasmic Reticulum Lumen.
Calculated MW:
62kDa
Observed MW:
62kDa
This gene encodes a member of the carboxylesterase large family. The family members are responsible for the hydrolysis or transesterification of various xenobiotics, such as cocaine and heroin, and endogenous substrates with ester, thioester, or amide bonds. They may participate in fatty acyl and cholesterol ester metabolism, and may play a role in the blood-brain barrier system. This gene is expressed in several tissues, particularly in colon, trachea and in brain, and the protein participates in colon and neural drug metabolism. Multiple alternatively spliced transcript variants encoding distinct isoforms have been reported, but the biological validity and/or full-length nature of some variants have not been determined.
Purification Method
Affinity purification
Gene ID
23491
RRID
AB_2765752
Buffer Information
Store at -20℃. Avoid freeze / thaw cycles. Buffer: PBS with 0.01% thimerosal,50% glycerol,pH7.3.
Western blot analysis of various lysates using CES3 Rabbit pAb (CAB4558) at 1:3000 dilution. Secondary antibody: HRP-conjugated Goat anti-Rabbit IgG (H+L) (CABS014) at 1:10000 dilution. Lysates/proteins: 25μg per lane. Blocking buffer: 3% nonfat dry milk in TBST. Detection: ECL Enhanced Kit (AbGn00021). Exposure time: 60s.