The CFDP1 Antibody (CAB6325) is a high-quality antibody developed for reliable detection and analysis of target proteins. This antibody, generated in rabbits, demonstrates high reactivity with human samples and is suitable for use in Western blot applications. By specifically binding to the CFDP1 protein, this antibody enables accurate detection and analysis of CFDP1 in a variety of cell types, making it ideal for studies in genetics, molecular biology, and cancer research.CFDP1, also known as cell cycle progression protein 1, plays a crucial role in maintaining genomic stability and ensuring proper DNA replication.
This antibody is validated for use in WB, ELISA applications and has demonstrated reactivity against Human, Mouse, Rat samples.
Product Name:
CFDP1 Antibody
SKU:
CAB6325
Size:
20μL, 100μL
Reactivity:
Human, Mouse, Rat
Conjugate:
Unconjugated
Immunogen:
Recombinant protein (or fragment).This information is considered to be commercially sensitive.
Predicted to act upstream of or within several processes, including cell adhesion; negative regulation of fibroblast apoptotic process; and regulation of cell shape. Predicted to be located in kinetochore.
Purification Method
Affinity purification
Gene ID
10428
RRID
AB_2766928
Buffer Information
Store at -20℃. Avoid freeze / thaw cycles. Buffer: PBS containing 50% glycerol, preserved with proclin300 or sodium azide, pH 7.3.
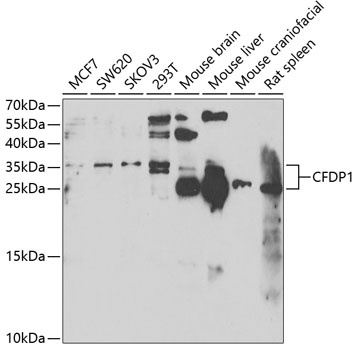
Western blot analysis of various lysates using CFDP1 Rabbit pAb (CAB6325) at 1:1000 dilution. Secondary antibody: HRP-conjugated Goat anti-Rabbit IgG (H+L) (CABS014) at 1:10000 dilution. Lysates/proteins: 25μg per lane. Blocking buffer: 3% nonfat dry milk in TBST. Detection: ECL Enhanced Kit (AbGn00021). Exposure time: 90s.