The CHCHD3 Antibody (CAB8584) is a high-quality antibody developed for reliable detection and analysis of target proteins. This antibody is produced in rabbits and exhibits high reactivity with human samples, making it suitable for use in Western blot applications. By binding specifically to CHCHD3, researchers can detect and analyze the protein in various cell types, providing valuable insights into its role in cellular processes related to mitochondrial biology.CHCHD3 is known to interact with other proteins involved in mitochondrial dynamics and maintenance, suggesting its importance in regulating mitochondrial function. Dysfunction of CHCHD3 has been linked to various diseases, including neurodegenerative disorders and metabolic conditions.
This antibody is validated for use in WB, IF/ICC, IP, ELISA applications and has demonstrated reactivity against Human, Mouse, Rat samples.
Product Name:
CHCHD3 Antibody
SKU:
CAB8584
Size:
20μL, 100μL
Reactivity:
Human, Mouse, Rat
Conjugate:
Unconjugated
Immunogen:
Recombinant protein (or fragment).This information is considered to be commercially sensitive.
The protein encoded by this gene is an inner mitochondrial membrane scaffold protein. Absence of the encoded protein affects the structural integrity of mitochondrial cristae and leads to reductions in ATP production, cell growth, and oxygen consumption. This protein is part of the mitochondrial contact site and cristae organizing system (MICOS). Several transcript variants encoding different isoforms have been found for this gene.
Purification Method
Affinity purification
Gene ID
54927
RRID
AB_2768882
Buffer Information
Store at -20℃. Avoid freeze / thaw cycles. Buffer: PBS containing 50% glycerol, preserved with proclin300 or sodium azide, pH 7.3.
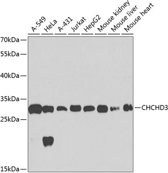
Western blot analysis of various lysates using CHCHD3 Rabbit pAb (CAB8584) at 1:1000 dilution. Secondary antibody: HRP-conjugated Goat anti-Rabbit IgG (H+L) (CABS014) at 1:10000 dilution. Lysates/proteins: 25μg per lane. Blocking buffer: 3% nonfat dry milk in TBST. Detection: ECL Basic Kit (AbGn00020). Exposure time: 40s.
Confocal immunofluorescence analysis of U2OS cells using CHCHD3 Rabbit pAb (CAB8584) at dilution of 1:100. Blue: DAPI for nuclear staining.