The CHD4 Monoclonal Antibody (CAB23537) is a high-quality antibody developed for reliable detection and analysis of target proteins. This monoclonal antibody, produced through hybridoma technology, exhibits high specificity and sensitivity in detecting CHD4 in a variety of experimental settings.CHD4, a member of the CHD (chromodomain helicase DNA-binding) family, is known for its role in epigenetic regulation and chromatin organization. Dysregulation of CHD4 has been implicated in various diseases, including cancer and developmental disorders.
This antibody is validated for use in WB, IHC-P, ELISA applications and has demonstrated reactivity against Human, Mouse, Rat samples.
Product Name:
CHD4 Monoclonal Antibody
SKU:
CAB23537
Size:
20μL, 100μL
Reactivity:
Human, Mouse, Rat
Clone Number:
ARC59887
Conjugate:
Unconjugated
Immunogen:
Recombinant protein (or fragment).This information is considered to be commercially sensitive.
Sequence:
Email for sequence
Tested Applications:
WBIHC-PELISA
Recommended Dilution:
WB
1:5000-1:24000
IHC-P
1:50 - 1:200
ELISA
Recommended starting concentration is 1 μg/mL. Please optimize the concentration based on your specific assay requirements.
The product of this gene belongs to the SNF2/RAD54 helicase family. It represents the main component of the nucleosome remodeling and deacetylase complex and plays an important role in epigenetic transcriptional repression. Patients with dermatomyositis develop antibodies against this protein. Somatic mutations in this gene are associated with serous endometrial tumors. Alternative splicing results in multiple transcript variants encoding different isoforms.
Purification Method
Affinity purification
Gene ID
1108
Buffer Information
Store at -20℃. Avoid freeze / thaw cycles. Buffer: PBS containing 50% glycerol and 0.05% BSA, preserved with proclin300 or sodium azide, pH 7.3.
Western blot analysis of lysates from HeLa cells using CHD4 Rabbit mAb (CAB23537) at 1:20000 dilution incubated overnight at 4℃. Secondary antibody: HRP-conjugated Goat anti-Rabbit IgG (H+L) (CABS014) at 1:10000 dilution. Lysates/proteins: 25 μg per lane. Blocking buffer: 3% nonfat dry milk in TBST. Detection: ECL Basic Kit (AbGn00020). Exposure time: 1s.
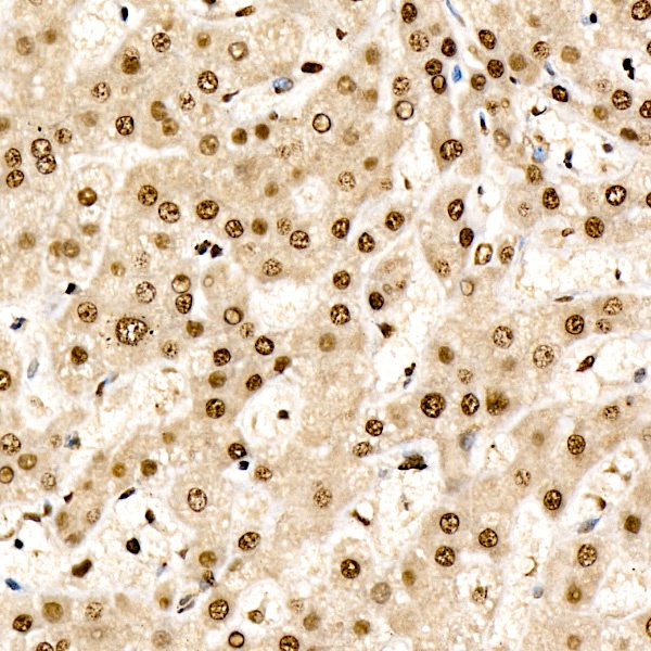
Immunohistochemistry analysis of paraffin-embedded Human liver using CHD4 Rabbit mAb (CAB23537) at dilution of 1:200 (40x lens). High pressure antigen retrieval performed with 0.01M Citrate buffer (pH 6.0) prior to IHC staining.
Immunohistochemistry analysis of paraffin-embedded Mouse brain using CHD4 Rabbit mAb (CAB23537) at dilution of 1:200 (40x lens). High pressure antigen retrieval performed with 0.01M Citrate buffer (pH 6.0) prior to IHC staining.