The CHI3L2 Antibody (CAB7654) is a high-quality antibody developed for reliable detection and analysis of target proteins. This antibody, generated in rabbits, is highly specific for human samples and has been validated for use in applications such as Western blotting. By binding to the CHI3L2 protein, this antibody allows for accurate detection and analysis in a variety of cell types, making it an ideal choice for studies in immunology, oncology, and inflammatory diseases.CHI3L2, also known as chitinase-3-like protein 2, is involved in various biological processes, including wound healing, tissue repair, and immune responses.
This antibody is validated for use in WB, IHC-P, ELISA applications and has demonstrated reactivity against Human samples.
Product Name:
CHI3L2 Antibody
SKU:
CAB7654
Size:
20μL, 100μL
Reactivity:
Human
Conjugate:
Unconjugated
Immunogen:
Recombinant protein (or fragment).This information is considered to be commercially sensitive.
Recommended starting concentration is 1 μg/mL. Please optimize the concentration based on your specific assay requirements.
Synonyms:
CHIL2, YKL39, YKL-39, CHI3L2
Positive Sample:
Jurkat
Cellular Localization:
Secreted.
Calculated MW:
44kDa
Observed MW:
40kDa
The protein encoded by this gene is similar to bacterial chitinases but lacks chitinase activity. The encoded protein is secreted and is involved in cartilage biogenesis. Several transcript variants encoding different isoforms have been found for this gene.
Purification Method
Affinity purification
Gene ID
1117
RRID
AB_2768895
Buffer Information
Store at -20℃. Avoid freeze / thaw cycles. Buffer: PBS containing 50% glycerol, preserved with proclin300 or sodium azide, pH 7.3.
Western blot analysis of lysates from Jurkat cells, using CHI3L2 Rabbit pAb (CAB7654) at 1:2000 dilution. Secondary antibody: HRP-conjugated Goat anti-Rabbit IgG (H+L) (CABS014) at 1:10000 dilution. Lysates/proteins: 25μg per lane. Blocking buffer: 3% nonfat dry milk in TBST. Detection: ECL Basic Kit (AbGn00020). Exposure time: 60s.
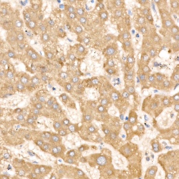
Immunohistochemistry analysis of paraffin-embedded Human liver using CHI3L2 Rabbit pAb (CAB7654) at dilution of 1:100 (40x lens). High pressure antigen retrieval performed with 0.01M Citrate buffer (pH 6.0) prior to IHC staining.