The CHRFAM7A Antibody (CAB7844) is a high-quality antibody developed for reliable detection and analysis of target proteins. This high-quality antibody, produced in rabbits, is specifically designed for use in Western blot applications and is highly reactive with human samples.CHRFAM7A is known for its involvement in cholinergic signaling and has been linked to Alzheimer's disease progression and cognitive decline. By targeting the CHRFAM7A protein, this antibody allows for the detection and analysis of CHRFAM7A expression in various cell types, making it an essential tool for studies in neuroscience and neurodegenerative diseases.
This antibody is validated for use in WB, IHC-P, ELISA applications and has demonstrated reactivity against Human, Mouse, Rat samples.
Product Name:
CHRFAM7A Antibody
SKU:
CAB7844
Size:
20μL, 100μL
Reactivity:
Human, Mouse, Rat
Conjugate:
Unconjugated
Immunogen:
Recombinant protein (or fragment).This information is considered to be commercially sensitive.
Recommended starting concentration is 1 μg/mL. Please optimize the concentration based on your specific assay requirements.
Synonyms:
D-10, CHRNA7, NACHRA7, CHRNA7-DR1, CHRFAM7A
Positive Sample:
A-549, Jurkat, SH-SY5Y, U-87MG, NIH/3T3, Mouse brain, Mouse spinal cord, Rat brain, Rat spinal cord, Jurkat, Mouse brain, Mouse spinal cord, Rat spinal cord
Cellular Localization:
Membrane, Multi-Pass Membrane Protein.
Calculated MW:
46kDa
Observed MW:
46kDa
The nicotinic acetylcholine receptors (nAChRs) are members of a superfamily of ligand-gated ion channels that mediate fast signal transmission at synapses. The family member CHRNA7, which is located on chromosome 15 in a region associated with several neuropsychiatric disorders, is partially duplicated and forms a hybrid with a novel gene from the family with sequence similarity 7 (FAM7A). Alternative splicing has been observed, and two variants exist, for this hybrid gene. The N-terminally truncated products predicted by the largest open reading frames for each variant would lack the majority of the neurotransmitter-gated ion-channel ligand binding domain but retain the transmembrane region that forms the ion channel. Although current evidence supports transcription of this hybrid gene, translation of the nicotinic acetylcholine receptor-like protein-encoding open reading frames has not been confirmed.
Purification Method
Affinity purification
Gene ID
89832
RRID
AB_2768906
Buffer Information
Store at -20℃. Avoid freeze / thaw cycles. Buffer: PBS containing 50% glycerol, preserved with proclin300 or sodium azide, pH 7.3.
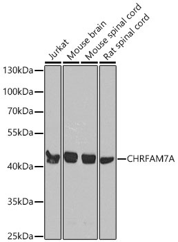
Western blot analysis of various lysates using CHRFAM7A Rabbit pAb (CAB7844) at 1:1000 dilution. Secondary antibody: HRP-conjugated Goat anti-Rabbit IgG (H+L) (CABS014) at 1:10000 dilution. Lysates / proteins: 25 μg per lane. Blocking buffer: 3 % nonfat dry milk in TBST. Detection: ECL Basic Kit (AbGn00020). Exposure time: 15s.
Immunohistochemistry analysis of paraffin-embedded Human prostate using CHRFAM7A Rabbit pAb (CAB7844) at dilution of 1:100 (40x lens). Microwave antigen retrieval performed with 0.01M PBS Buffer (pH 7.2) prior to IHC staining.