The CHRNA9 Antibody (CAB9975) is a high-quality antibody developed for reliable detection and analysis of target proteins. This antibody, produced in rabbits, specifically targets the CHRNA9 protein and is highly reactive with human samples. Validated for use in Western blot applications, it enables the detection and analysis of CHRNA9 in various cell types, making it ideal for investigations in neuroscience, pharmacology, and addiction research.CHRNA9 is known for its role in mediating the effects of nicotine on the brain and is implicated in nicotine addiction and related disorders.
This antibody is validated for use in WB, ELISA applications and has demonstrated reactivity against Human, Mouse, Rat samples.
Product Name:
CHRNA9 Antibody
SKU:
CAB9975
Size:
20μL, 100μL
Reactivity:
Human, Mouse, Rat
Conjugate:
Unconjugated
Immunogen:
Recombinant protein (or fragment).This information is considered to be commercially sensitive.
This gene is a member of the ligand-gated ionic channel family and nicotinic acetylcholine receptor gene superfamily. It encodes a plasma membrane protein that forms homo- or hetero-oligomeric divalent cation channels. This protein is involved in cochlea hair cell development and is also expressed in the outer hair cells (OHCs) of the adult cochlea.
Purification Method
Affinity purification
Gene ID
55584
RRID
AB_2768910
Buffer Information
Store at -20℃. Avoid freeze / thaw cycles. Buffer: PBS containing 50% glycerol, preserved with proclin300 or sodium azide, pH 7.3.
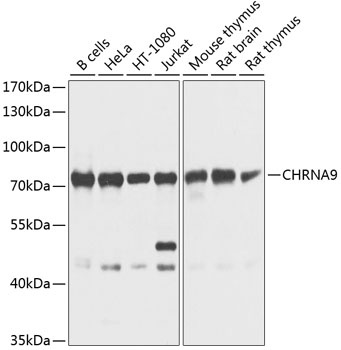
Western blot analysis of various lysates using CHRNA9 Rabbit pAb (CAB9975) at 1:1000 dilution. Secondary antibody: HRP-conjugated Goat anti-Rabbit IgG (H+L) (CABS014) at 1:10000 dilution. Lysates/proteins: 25μg per lane. Blocking buffer: 3% nonfat dry milk in TBST. Detection: ECL Basic Kit (AbGn00020). Exposure time: 1s.