The CHRNE Antibody (CAB10057) is a high-quality antibody developed for reliable detection and analysis of target proteins. Produced in rabbits, this antibody is highly specific to human samples and has been validated for use in Western blot applications. By binding to the CHRNE protein, this antibody allows for precise detection and analysis in a variety of cell types, making it an invaluable resource for investigations in the fields of neurobiology and muscle physiology.
This antibody is validated for use in WB, ELISA applications and has demonstrated reactivity against Human, Mouse, Rat samples.
Product Name:
CHRNE Antibody
SKU:
CAB10057
Size:
20μL, 100μL
Reactivity:
Human, Mouse, Rat
Conjugate:
Unconjugated
Immunogen:
Recombinant protein (or fragment).This information is considered to be commercially sensitive.
Acetylcholine receptors at mature mammalian neuromuscular junctions are pentameric protein complexes composed of four subunits in the ratio of two alpha subunits to one beta, one epsilon, and one delta subunit. The acetylcholine receptor changes subunit composition shortly after birth when the epsilon subunit replaces the gamma subunit seen in embryonic receptors. Mutations in the epsilon subunit are associated with congenital myasthenic syndrome.
Purification Method
Affinity purification
Gene ID
1145
RRID
AB_2757578
Buffer Information
Store at -20℃. Avoid freeze / thaw cycles. Buffer: PBS containing 50% glycerol, preserved with proclin300 or sodium azide, pH 7.3.
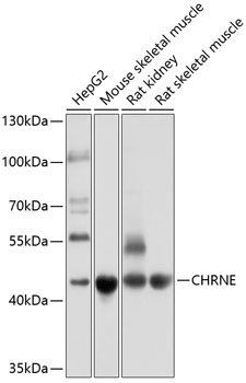
Western blot analysis of various lysates using CHRNE Rabbit pAb (CAB10057) at 1:1000 dilution. Secondary antibody: HRP-conjugated Goat anti-Rabbit IgG (H+L) (CABS014) at 1:10000 dilution. Lysates/proteins: 25μg per lane. Blocking buffer: 3% nonfat dry milk in TBST. Detection: ECL Basic Kit (AbGn00020). Exposure time: 1s.