The CLCC1 Antibody (CAB17656) is a high-quality antibody developed for reliable detection and analysis of target proteins. This rabbit-derived antibody offers high reactivity with human samples and has been validated for use in Western blot applications. By specifically binding to the CLCC1 protein, this antibody allows for precise detection and analysis in various cell types, making it ideal for studies focusing on ion channel function and regulation.CLCC1 is essential for maintaining chloride ion homeostasis within cells, playing a crucial role in various physiological processes such as cell volume regulation and acid-base balance.
This antibody is validated for use in WB, IHC-P, ELISA applications and has demonstrated reactivity against Human, Mouse samples.
Product Name:
CLCC1 Antibody
SKU:
CAB17656
Size:
20μL, 100μL
Reactivity:
Human, Mouse
Conjugate:
Unconjugated
Immunogen:
Recombinant protein (or fragment).This information is considered to be commercially sensitive.
Recommended starting concentration is 1 μg/mL. Please optimize the concentration based on your specific assay requirements.
Synonyms:
MCLC, RP32, CLCC1
Positive Sample:
U-87MG, 22Rv1, Mouse spleen
Cellular Localization:
Endoplasmic Reticulum, Nuclear Membrane.
Calculated MW:
62kDa
Observed MW:
62kDa
Predicted to enable chloride channel activity. Predicted to be involved in chloride transport. Located in endoplasmic reticulum and mitochondria-associated endoplasmic reticulum membrane. Implicated in retinitis pigmentosa 32.
Purification Method
Affinity purification
Gene ID
23155
RRID
AB_2768939
Buffer Information
Store at -20℃. Avoid freeze / thaw cycles. Buffer: PBS with 0.01% thimerosal,50% glycerol,pH7.3.
Western blot analysis of various lysates using CLCC1 Rabbit pAb (CAB17656) at 1:1000 dilution. Secondary antibody: HRP-conjugated Goat anti-Rabbit IgG (H+L) (CABS014) at 1:10000 dilution. Lysates/proteins: 25μg per lane. Blocking buffer: 3% nonfat dry milk in TBST. Detection: ECL Basic Kit (AbGn00020). Exposure time: 3s.
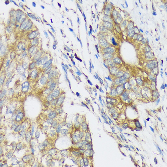
Immunohistochemistry analysis of paraffin-embedded Human colon carcinoma using CLCC1 Rabbit pAb (CAB17656) at dilution of 1:100 (40x lens). Microwave antigen retrieval performed with 0.01M PBS Buffer (pH 7.2) prior to IHC staining.