The CNOT1 Antibody (CAB5969) is a high-quality antibody developed for reliable detection and analysis of target proteins. This antibody, produced in rabbits, exhibits high specificity and sensitivity when detecting CNOT1 in human samples, making it suitable for use in Western blot applications.CNOT1 is essential for controlling gene expression by regulating mRNA stability and turnover, playing a crucial role in processes such as cell proliferation, differentiation, and development. Dysregulation of CNOT1 has been linked to various diseases, including cancer and neurological disorders, making it a promising target for therapeutic interventions and biomarker discovery.
This antibody is validated for use in WB, IF/ICC, ELISA applications and has demonstrated reactivity against Human, Mouse samples.
Product Name:
CNOT1 Antibody
SKU:
CAB5969
Size:
20μL, 100μL
Reactivity:
Human, Mouse
Conjugate:
Unconjugated
Immunogen:
Recombinant protein (or fragment).This information is considered to be commercially sensitive.
Recommended starting concentration is 1 μg/mL. Please optimize the concentration based on your specific assay requirements.
Synonyms:
NOT1, CDC39, HPE12, NOT1H, VIBOS, AD-005, CNOT1
Positive Sample:
U-87MG, 293T, LO2, A-549, HeLa, mouse brain
Cellular Localization:
Cytoplasm, Nucleus, P-Body.
Calculated MW:
267kDa
Observed MW:
267kDa
Enables armadillo repeat domain binding activity; molecular adaptor activity; and nuclear receptor binding activity. Contributes to poly(A)-specific ribonuclease activity. Involved in several processes, including negative regulation of signal transduction; positive regulation of cytoplasmic mRNA processing body assembly; and regulation of gene expression. Located in P-body and cytosol. Part of CCR4-NOT complex. Implicated in holoprosencephaly.
Purification Method
Affinity purification
Gene ID
23019
RRID
AB_2766691
Buffer Information
Store at -20℃. Avoid freeze / thaw cycles. Buffer: PBS with 0.01% thimerosal,50% glycerol,pH7.3.
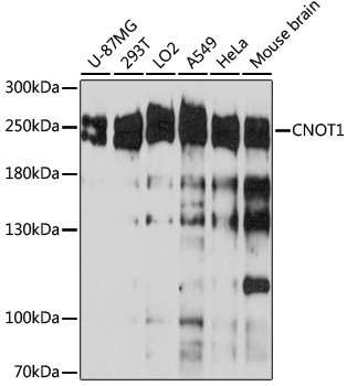
Western blot analysis of various lysates, using CNOT1 Rabbit pAb (CAB5969) at 1:3000 dilution. Secondary antibody: HRP-conjugated Goat anti-Rabbit IgG (H+L) (CABS014) at 1:10000 dilution. Lysates/proteins: 25μg per lane. Blocking buffer: 3% nonfat dry milk in TBST. Detection: ECL Basic Kit (AbGn00020). Exposure time: 30s.
Immunofluorescence analysis of L929 cells using CNOT1 Rabbit pAb (CAB5969) at dilution of 1:100. Secondary antibody: Cy3-conjugated Goat anti-Rabbit IgG (H+L) (CABS007) at 1:500 dilution. Blue: DAPI for nuclear staining.