The Contactin 2 Antibody (CAB7738) is a high-quality antibody developed for reliable detection and analysis of target proteins. This gene encodes a member of the contactin family of proteins, part of the immunoglobulin superfamily of cell adhesion molecules. The encoded glycosylphosphatidylinositol (GPI)-anchored neuronal membrane protein plays a role in the proliferation, migration, and axon guidance of neurons of the developing cerebellum. A mutation in this gene may be associated with adult myoclonic epilepsy. RRID AB_2768976 Gene ID 6900 Swiss Prot Synonym AXT; TAX; TAX1; FAME5; TAG-1; Contactin 2
This antibody is validated for use in WB, ELISA applications and has demonstrated reactivity against Mouse, Rat samples.
Product Name:
Contactin 2 Antibody
SKU:
CAB7738
Size:
100μL, 20μL
Reactivity:
Mouse, Rat
Clone Number:
-
Conjugate:
Unconjugated
Immunogen:
Recombinant protein (or fragment).This information is considered to be commercially sensitive.
Tested Applications:
WBELISA
Recommended Dilution:
WB
1:500 - 1:2000
ELISA
Recommended starting concentration is 1 μg/mL. Please optimize the concentration based on your specific assay requirements.
Synonyms:
AXT, TAX, TAX1, FAME5, TAG-1, Contactin 2
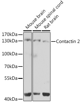
Positive Sample:
Mouse brain, Mouse spinal cord, Rat brain
Cellular Localization:
Cell Membrane, Gpi-Anchor, Lipid-Anchor.
Calculated MW:
113kDa
Observed MW:
130kDa
This gene encodes a member of the contactin family of proteins, part of the immunoglobulin superfamily of cell adhesion molecules. The encoded glycosylphosphatidylinositol (GPI)-anchored neuronal membrane protein plays a role in the proliferation, migration, and axon guidance of neurons of the developing cerebellum. A mutation in this gene may be associated with adult myoclonic epilepsy. RRID AB_2768976 Gene ID 6900 Swiss Prot Synonym AXT; TAX; TAX1; FAME5; TAG-1; Contactin 2
Purification Method:
Affinity purification
Gene ID:
6900
RRID:
AB_2768976
Buffer Information:
Store at -20℃. Avoid freeze / thaw cycles. Buffer: PBS containing 50% glycerol, preserved with proclin300 or sodium azide, pH 7.3.
Western blot analysis of various lysates using Contactin 2 Rabbit pAb (CAB7738) at 1:1000 dilution. Secondary antibody: HRP-conjugated Goat anti-Rabbit IgG (H+L) (AS014) at 1:10000 dilution. Lysates/proteins: 25μg per lane. Blocking buffer: 3% nonfat dry milk in TBST. Detection: ECL Basic Kit (AbGn00020). Exposure time: 30s.